中国 EN 400-660-9091

联系我们

电话:18013895086

电话:025-68037686

地址:江苏生命科技创新园F6幢1层

订购:nanjing03@biogot.com

服务:biorase01@biogot.com

合作:lvyun@biogot.com

支持:may@biogot.com

Trim5a monoclonal antibody

货号: MB21040
价格 1200
货期 现货(1-2个工作日)
25ug 50ug 100ug 200ug
No. :MB21040
Product Name :Trim5a monoclonal antibody
Swiss-Prot :Q9C035
Host :Mouse
Reactivity :Human
Applications :WB,IHC
Application_all :WB:1/500 - 1/2000 IHC:1/200 - 1/1000
Background :TRIM5-alpha is a protein that is found in the cells of many mammals and fends of various retrovirus infections. It protects monkeys from infection with HIV-1, and humans from infection with some other viruses. If a retrovirus has entered a cell, it needs to shed its capsid in order to reversely transcribe its genes, so that they can be expressed by the host cell. It is believed that TRIM5 alpha, which is present in the cytoplasm, somehow recognizes the capsid and blocks its shedding, thereby stopping the virus in its tracks. It thus represents an intracellular defense completely separate from the rest of the body's immune system.
Product :Purified antibody in PBS with 0.05% sodium azide.
Purification&Purity :The antibody was affinity-purified from mouse ascites by affinity-chromatography using epitope-specific immunogen and the purity is > 95% (by SDS-PAGE).
Storage&Stability :Store at 4°C short term. Aliquot and store at -20°C long term. Avoid freeze-thaw cycles.
Specificity :Mouse IgG1
Note :For research use only, not for use in diagnostic procedure.
Alternative Name :RNF88; TRIM5alpha
Immunogen :Purified recombinant fragment of human trim5 alpha expressed in E. Coli.
Conjugate :Unconjugated
Modification :Unmodification
Western blot analysis using Trim5a mouse mAb against human breast carcinoma tissue lysate.
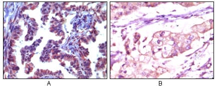
Immunohistochemical analysis of paraffin-embedded human metastatic adenocarcinoma(A) and stomach adenocarcinoma (B), showing cytoplasmic localization using Trim5a mouse mAb with AEC staining (A) and DAB staining(B).

关注我们

400-660-9091

电话:18013895086

地址:江苏生命科技创新园F6幢1层

订购:nanjing03@biogot.com

服务:biorase01@biogot.com

合作:lvyun@biogot.com

支持:may@biogot.com