中国 EN 400-660-9091

联系我们

电话:18013895086

电话:025-68037686

地址:江苏生命科技创新园F6幢1层

订购:nanjing03@biogot.com

服务:biorase01@biogot.com

合作:lvyun@biogot.com

支持:may@biogot.com

BCL-10 monoclonal antibody

货号: MB21030
价格 1200
货期 现货(1-2个工作日)
25ug 50ug 100ug 200ug
No. :MB21030
Product Name :BCL-10 monoclonal antibody
Swiss-Prot :O95999
Host :Mouse
Reactivity :Human,Mouse
Applications :WB,IHC,IF,FCM
Application_all :WB:1/500 - 1/2000 IHC:1/200 - 1/1000 IF:1/200 - 1/1000 FC:1/200 - 1/400
Background :Bcl-10 (B-cell CLL/lymphoma 10), also known as CLAP, Me10, CIPER, c-E10, CARMEN. Entrez Protein NP_003912. It is a protein containing a caspase recruitment domain (CARD). It plays an important <br />role in apoptosis and activating NF-kappaB. The research suggested that it interacted with other <br />CARD domain containing proteins including CARD9, 10, 11 and 14, which were thought to function as <br />upstream regulators in NF-kappaB signaling. Bcl-10 is found to form a complex with MALT1 which <br />encoded by another gene known to be translocated in MALT lymphoma. MALT1 and Bcl-10 are thought to <br />synergize in the activation of NF-kappaB, and the deregulation of either of them may contribute to<br /> the same pathogenetic process that leads to the malignancy.
Product :Ascitic fluid containing 0.03% sodium azide.
Purification&Purity :The antibody was affinity-purified from mouse ascites by affinity-chromatography using epitope-specific immunogen and the purity is > 95% (by SDS-PAGE).
Storage&Stability :Store at 4°C short term. Aliquot and store at -20°C long term. Avoid freeze-thaw cycles.
Specificity :Mouse IgG1
BiowMW :26kDa
Note :For research use only, not for use in diagnostic procedure.
Alternative Name :CLAP; Me10; CIPER; c-E10; CARMEN
Immunogen :Purified recombinant fragment of human BCL-10 expressed in E. Coli.
Conjugate :Unconjugated
Modification :Unmodification
Western blot analysis using BCL10 mouse mAb against NIH/3T3 (1), Hela (2), MCF-7 (3) and Jurkat (4) cell lysate.
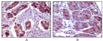
Immunohistochemical analysis of paraffin-embedded human breast carcinoma (A) and liver carcinoma (B), showing cytoplasmic localization using BCL10 mouse mAb with DAB staining.
Confocal Immunofluorescence analysis of Hela cells using BCL10 mouse mAb (green). Red: Actin filaments have been labeled with Alexa Fluor-555 phalloidin. Blue: DRAQ5 fluorescent DNA dye.
Flow cytometric analysis of Hela cells using BCL10 mouse mAb (green) and negative control (purple).

关注我们

400-660-9091

电话:18013895086

地址:江苏生命科技创新园F6幢1层

订购:nanjing03@biogot.com

服务:biorase01@biogot.com

合作:lvyun@biogot.com

支持:may@biogot.com