中国 EN 400-660-9091

联系我们

电话:18013895086

电话:025-68037686

地址:江苏生命科技创新园F6幢1层

订购:nanjing03@biogot.com

服务:biorase01@biogot.com

合作:lvyun@biogot.com

支持:may@biogot.com

Nucleophosmin monoclonal antibody

货号: MB21028
价格 1200
货期 现货(1-2个工作日)
25ug 50ug 100ug 200ug
No. :MB21028
Product Name :Nucleophosmin monoclonal antibody
Swiss-Prot :P06748
Host :Mouse
Reactivity :Human,Monkey
Applications :WB,IHC,IF
Application_all :WB:1/500 - 1/2000 IHC:1/200 - 1/1000 IF:1/200 - 1/1000
Background :Nucleophosmin (NPM), also named B23 or NO38, is a major nucleolar protein which is 20 times more abundant in tumor or proliferating cells than in normal resting cells. NPM has been implicated in several distinct cellular functions, including assembly and transport of ribosomes, cytoplasmic/nuclear trafficking, regulation of DNA polymerase alpha activity, centrosome duplication and molecular chaperoning activities. The NPM is also known for its fusion with the anaplastic lymphoma kinase (ALK) receptor tyrosine kinase. The NPM portion contributes to transformation by providing a dimerization domain, which results in activation of the fused kinase.
Product :Ascitic fluid containing 0.03% sodium azide.
Purification&Purity :The antibody was affinity-purified from mouse ascites by affinity-chromatography using epitope-specific immunogen and the purity is > 95% (by SDS-PAGE).
Storage&Stability :Store at 4°C short term. Aliquot and store at -20°C long term. Avoid freeze-thaw cycles.
Specificity :Mouse IgG1
BiowMW :33kDa
Note :For research use only, not for use in diagnostic procedure.
Alternative Name :B23; NPM
Immunogen :Purified recombinant fragment of human NPM (2-265) expressed in E. Coli.
Conjugate :Unconjugated
Modification :Unmodification
Western blot analysis using NPM mouse mAb against SMMC-7721 (1), HepG2 (2), Hela (3) and HEK293 (4) cell lysate.
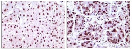
Immunohistochemical analysis of paraffin-embedded human liver carcinoma tissues, showing nuclear localization using NPM mouse mAb with DAB staining.
Confocal Immunofluorescence analysis of Hela (left) and NTERA-2 (right) cells using NPM mouse mAb (green). Red: Actin filaments have been labeled with DY-554 phalloidin.

关注我们

400-660-9091

电话:18013895086

地址:江苏生命科技创新园F6幢1层

订购:nanjing03@biogot.com

服务:biorase01@biogot.com

合作:lvyun@biogot.com

支持:may@biogot.com