中国 EN 400-660-9091

联系我们

电话:18013895086

电话:025-68037686

地址:江苏生命科技创新园F6幢1层

订购:nanjing03@biogot.com

服务:biorase01@biogot.com

合作:lvyun@biogot.com

支持:may@biogot.com

TERT monoclonal antibody

货号: LM1562
价格
货期 现货(1-2个工作日)
No. :LM1562
Product Name :TERT monoclonal antibody
Swiss-Prot :O14746
Host :Mouse
Reactivity :Human
Applications :WB IHC ICC FC
Application_all :WB: 1:500 - 1:2000 IHC/ICC: 1:50 - 1:200 FCM: 1/200 - 1/400
Background :Telomerase is a ribonucleoprotein polymerase that maintains telomere ends by addition of the telomere repeat TTAGGG. The enzyme consists of a protein component with reverse transcriptase activity, encoded by this gene, and an RNA component which serves as a template for the telomere repeat. Telomerase expression plays a role in cellular senescence, as it is normally repressed in postnatal somatic cells resulting in progressive shortening of telomeres. Deregulation of telomerase expression in somatic cells may be involved in oncogenesis. Studies in mouse suggest that telomerase also participates in chromosomal repair, since de novo synthesis of telomere repeats may occur at double-stranded breaks. Alternatively spliced variants encoding different isoforms of telomerase reverse transcriptase have been identified; the full-length sequence of some variants has not been determined. Alternative splicing at this locus is thought to be one mechanism of regulation of telomerase activity.
Product :Mouse IgG1, 1mg/ml in PBS with 0.02% sodium azide, 50% glycerol, pH7.2
Purification&Purity :Purified antibody in PBS with 0.05% sodium azide
Storage&Stability :Store at 4°C short term. Aliquot and store at -20°C long term. Avoid freeze-thaw cycles.
Specificity :TERT monoclonal antibody detects endogenous levels of TERT protein.
BiowMW :~ 127 kDa
Note :For research use only, not for use in diagnostic procedure.
Alternative Name :Telomerase reverse transcriptase; HEST2; Telomerase catalytic subunit; Telomerase-associated protein 2; TP2; TERT; EST2; TCS1; TRT
Immunogen :Purified recombinant fragment of human TERT (AA: 1029-1132) expressed in E. Coli.
Conjugate :Unconjugated
Modification :Unmodification
Western blot analysis using TERT mAb against HEK293 (1) and TERT (AA: 1029-1132)-hIgGFc transfected HEK293 (2) cell lysate.
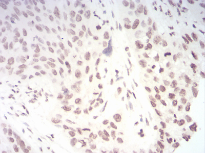
Immunohistochemical analysis of paraffin-embedded esophageal cancer tissues using TERT mouse mAb with DAB staining.

关注我们

400-660-9091

电话:18013895086

地址:江苏生命科技创新园F6幢1层

订购:nanjing03@biogot.com

服务:biorase01@biogot.com

合作:lvyun@biogot.com

支持:may@biogot.com