中国 EN 400-660-9091

联系我们

电话:18013895086

电话:025-68037686

地址:江苏生命科技创新园F6幢1层

订购:nanjing03@biogot.com

服务:biorase01@biogot.com

合作:lvyun@biogot.com

支持:may@biogot.com

FBXL18 polyclonal antibody

货号: BS9962M
价格
货期 现货(1-2个工作日)
No. :BS9962M
Product Name :FBXL18 polyclonal antibody
Swiss-Prot :Q96ME1
Host :Rabbit
Reactivity :Human,Mouse
Applications :WB IHC FC
Application_all :WB: 1:500 IHC: 1:50-1:200 FC: 1:50-1:100
Background :FBL18 (F-box and leucine-rich repeat protein 18), also known as FBXL18, is an 805 amino acid protein that contains an F-box near its N-terminus, followed by several leucine-rich repeats and a transmembrane domain at the C-terminus. F-box proteins are critical components of the SCF (Skp1-CUL-1-F-box protein) type E3 ubiquitin ligase complex and are involved in substrate recognition and recruitment for ubiquitination. They are members of a larger family of proteins that are involved in the regulation of a wide variety of cellular processes (including the cell cycle, immune response, signaling cascades and developmental processes) through the targeting of proteins, such as cyclins and cyclin-dependent kinase inhibitors (CDKNs), for degradation by the proteasome after ubiquitination.
Product :Rabbit IgG, 1mg/ml in PBS with 0.02% sodium azide, 50% glycerol, pH7.2
Purification&Purity :Protein A affinity purified.
Storage&Stability :Store at 4°C short term. Aliquot and store at -20°C long term. Avoid freeze-thaw cycles.
Specificity :This antibody detects endogenous levels of FBXL18 and does not cross-react with related proteins.
BiowMW :~ 40, 88 kDa
Note :For research use only, not for use in diagnostic procedure.
Alternative Name :F-box/LRR-repeat protein 18; F-box and leucine-rich repeat protein 18; FBXL18; FBL18
Immunogen :Synthetic peptide corresponding to human FBXL18 aa 750 to C terminus.
Conjugate :Unconjugated
Modification :Unmodification
Western blot analysis of FBXL18 on PC-3M cell lysate using anti-FBXL18 antibody at 1:500 dilution.
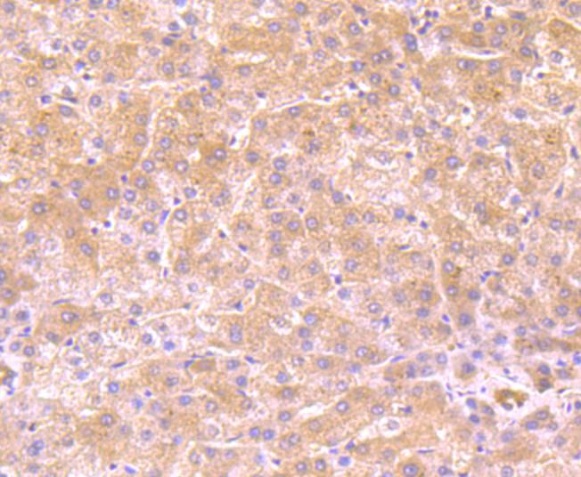
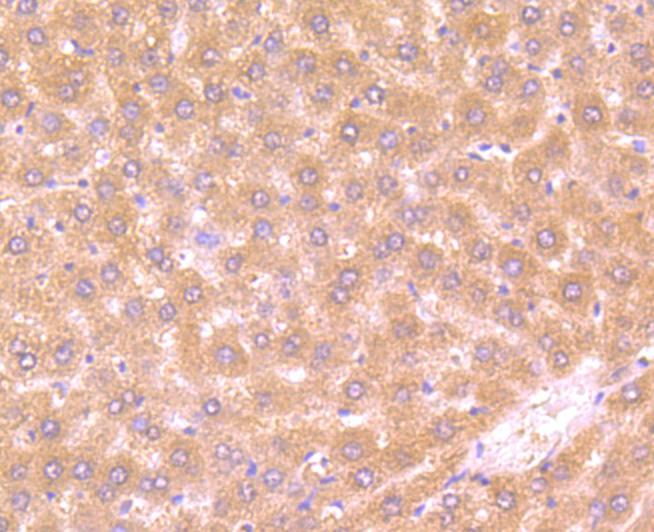
Immunohistochemical analysis of paraffin-embedded human liver tissue using anti-FBXL18 antibody. Counter stained with hematoxylin.
Flow cytometric analysis of A549 cells with FBXL18 antibody at 1/100 dilution (red) compared with an unlabelled control (cells without incubation with primary antibody; black). Alexa Fluor 488-conjugated goat anti-rabbit IgG was used as the secondary antibody.

关注我们

400-660-9091

电话:18013895086

地址:江苏生命科技创新园F6幢1层

订购:nanjing03@biogot.com

服务:biorase01@biogot.com

合作:lvyun@biogot.com

支持:may@biogot.com