中国 EN 400-660-9091

联系我们

电话:18013895086

电话:025-68037686

地址:江苏生命科技创新园F6幢1层

订购:nanjing03@biogot.com

服务:biorase01@biogot.com

合作:lvyun@biogot.com

支持:may@biogot.com

Hairless (E77) polyclonal antibody

货号: BS9123
价格
货期 现货(1-2个工作日)
No. :BS9123
Product Name :Hairless (E77) polyclonal antibody
Swiss-Prot :O43593
Host :Rabbit
Reactivity :Human,Mouse,Rat
Applications :IHC
Application_all :IHC: 1:50~1:200
Background :Drosophila genes can be categorized based on the type of protein for which they encode and are represented by six major classifications, which include intracellular signaling proteins, transmembrane proteins, RNA binding proteins, secreted factors, transcription regulators (basic helix-loop-helix, homeodomain containing, zinc finger containing and chromatin associated) or other functional proteins. Among these numerous proteins, Hairless (CG5460, CT36411, CT17282) is a transcriptional co-repressor that contains a “Paired box” domain, a KX-repeat domain, a NEDL-repeat domain and a serine-rich domain. Hairless is an antagonist of the Notch signaling pathway in Drosophila.
Product :Rabbit IgG, 1mg/ml in PBS with 0.02% sodium azide, 50% glycerol, pH7.2
Purification&Purity :The antibody was affinity-purified from rabbit antiserum by affinity-chromatography using epitope-specific immunogen and the purity is > 95% (by SDS-PAGE).
Storage&Stability :Store at 4°C short term. Aliquot and store at -20°C long term. Avoid freeze-thaw cycles.
Specificity :Hairless (E77) polyclonal antibody detects endogenous levels of Hairless protein.
BiowMW :~ 127 kDa
Note :For research use only, not for use in diagnostic procedure.
Alternative Name :Lysine-specific demethylase hairless; HR; CG5460; CT36411; CT17282
Immunogen :Synthetic peptide, corresponding to amino acids 51-100 of Human Hairless.
Conjugate :Unconjugated
Modification :Unmodification
Western blot (WB) analysis of HR pAb at 1:500 dilution Lane1:The Small intestine tissue lysate of Rat(40ug) Lane2:A375 whole cell lysate(40ug)
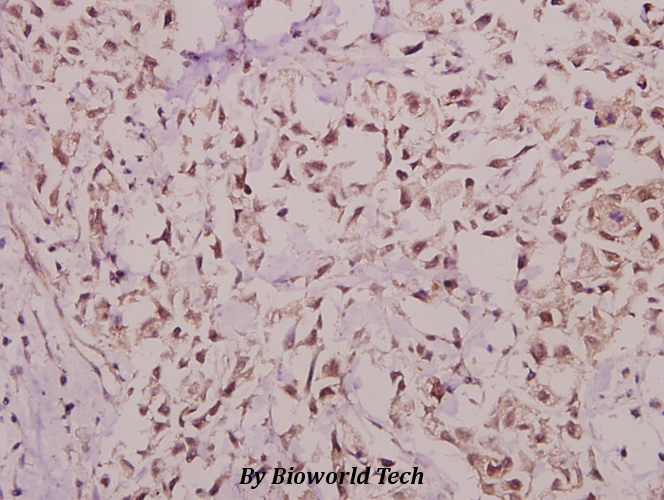
Immunohistochemistry (IHC) analyzes of Hairless (E77) pAb in paraffin-embedded human breast carcinoma tissue at 1:50.

关注我们

400-660-9091

电话:18013895086

地址:江苏生命科技创新园F6幢1层

订购:nanjing03@biogot.com

服务:biorase01@biogot.com

合作:lvyun@biogot.com

支持:may@biogot.com