中国 EN 400-660-9091

联系我们

电话:18013895086

电话:025-68037686

地址:江苏生命科技创新园F6幢1层

订购:nanjing03@biogot.com

服务:biorase01@biogot.com

合作:lvyun@biogot.com

支持:may@biogot.com

VE-Cadherin (phospho-Y731) polyclonal antibody

货号: BS4242
价格
货期 现货(1-2个工作日)
No. :BS4242
Product Name :VE-Cadherin (phospho-Y731) polyclonal antibody
Swiss-Prot :P33151
Host :Rabbit
Reactivity :Human,Mouse,Rat
Applications :WB IHC
Application_all :WB: 1:500~1:1000 IHC: 1:50~1:200
Background :The cadherins are a family of Ca 2+-dependent adhesion molecules that function to mediate cell-cell binding critical to the maintenance of tissue structure and morphogenesis. Cadherins each contain a large extracellular domain at the amino-terminus, which is characterized by a series of five homologous repeats, the most distal of which is thought to be responsible for binding specificity. The relatively short carboxy-terminal, intracellular domain interacts with a variety of cytoplasmic proteins, including β-catenin, to regulate cadherin function. VE-cadherin (for vascular endothelial cadherin, also designated cadherin-5) is localized at intercellular junctions of endothelial cells, where it is thought to play a role in the cohesion and organization of intercellular junctions.
Product :Rabbit IgG, 1mg/ml in PBS with 0.02% sodium azide, 50% glycerol, pH7.2
Purification&Purity :The antibody was affinity-purified from rabbit antiserum by affinity-chromatography using epitope-specific immunogen and the purity is > 95% (by SDS-PAGE).
Storage&Stability :Store at 4°C short term. Aliquot and store at -20°C long term. Avoid freeze-thaw cycles.
Specificity :p-VE-Cadherin (Y731) polyclonal antibody detects endogenous levels of VE-Cadherin protein only when phosphorylated at Tyr731
BiowMW :~ 130 kDa
Note :For research use only, not for use in diagnostic procedure.
Alternative Name :Cadherin-5; 7B4 antigen; Vascular endothelial cadherin; VE-cadherin; CD144; CDH5; Cadherin 5
Immunogen :Synthetic phosphopeptide derived from human VE-Cadherin around the phosphorylation site of Tyrosine 731.
Conjugate :Unconjugated
Modification :Phosphorylation
Western blot (WB) analysis of p-VE-Cadherin (Y731) polyclonal antibody at 1:500 dilution Lane1:Hela cell lysate treated with EGF(0.1ng/ml,30mins) Lane2:H9C2 cell lysate treated with EGF(0.1ng/ml,30mins)
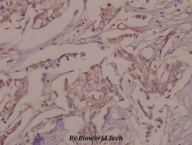
Immunohistochemistry (IHC) analyzes of p-VE-Cadherin (Y731) pAb in paraffin-embedded human breast carcinoma tissue at 1:50.
  • Thrombomodulin blocks calcineurin inhibitor-induced vascular permeability via inhibition of Src/VE-cadherin axis
    JournalBone Marrow Transplantation
    ApplicationWB
    IF5.483
    SpeciesHuman
  • Wogonin inhibits LPS-induced vascular permeability via suppressing MLCK/MLC pathway
    JournalVascular Pharmacology
    ApplicationWB
    IF3.33
    SpeciesHuman
  • Endothelial microvesicles induced by physiological cyclic stretch inhibit ICAM1-Dependent leukocyte adhesion
    JournalExperimental Cell Research
    ApplicationWB
    IF3.329
    SpeciesRat

关注我们

400-660-9091

电话:18013895086

地址:江苏生命科技创新园F6幢1层

订购:nanjing03@biogot.com

服务:biorase01@biogot.com

合作:lvyun@biogot.com

支持:may@biogot.com