中国 EN 400-660-9091

联系我们

电话:18013895086

电话:025-68037686

地址:江苏生命科技创新园F6幢1层

订购:nanjing03@biogot.com

服务:biorase01@biogot.com

合作:lvyun@biogot.com

支持:may@biogot.com

IKKα/β (phospho-S176/177) polyclonal antibody

货号: BS4236
价格
货期 现货(1-2个工作日)
No. :BS4236
Product Name :IKKα/β (phospho-S176/177) polyclonal antibody
Swiss-Prot :O15111/O14920
Host :Rabbit
Reactivity :Human,Mouse
Applications :WB IHC
Application_all :WB: 1:500~1:1000 IHC: 1:50~1:200
Background :The NF-κB/Rel transcription factors are present in the cytosol in an inactive state, complexed with the inhibitory IκB proteins. Most agents that activate NF-κB do so through a common pathway based on phosphorylation-induced, proteasome-mediated degradation of IκB. The key regulatory step in this pathway involves activation of a high molecular weight IκB kinase (IKK) complex whose catalysis is generally carried out by three tightly associated IKK subunits. IKKα and IKKβ serve as the catalytic subunits of the kinase and IKKγ serves as the regulatory subunit. Activation of IKK depends upon phosphorylation at Ser177 and Ser181 in the activation loop of IKKβ (Ser176 and Ser180 in IKKα), which causes conformational changes, resulting in kinase activation.
Product :Rabbit IgG, 1mg/ml in PBS with 0.02% sodium azide, 50% glycerol, pH7.2
Purification&Purity :The antibody was affinity-purified from rabbit antiserum by affinity-chromatography using epitope-specific immunogen and the purity is > 95% (by SDS-PAGE).
Storage&Stability :Store at 4°C short term. Aliquot and store at -20°C long term. Avoid freeze-thaw cycles.
Specificity :p-IKKα/β (S176/177) polyclonal antibody detects endogenous levels of IKKα/β protein only when phosphorylated at Ser176/177.
BiowMW :~ 85 kDa
Note :For research use only, not for use in diagnostic procedure.
Alternative Name :I kappa-B kinase alpha; IkBKA; IKK-alpha; IKK-A; IkappaB kinase; EC 2.7.11.10; I-kappa-B kinase 1; IKK1; Conserved helix-loop-helix ubiquitous kinase; Nuclear factor NF-kappa-B inhibitor kinase alpha; NFKBIKA; CHUK; IKKA; TCF16
Immunogen :Synthetic phosphopeptide derived from human IKKα/β around the phosphorylation site of Serine 176/177.
Conjugate :Unconjugated
Modification :Phosphorylation
Western blot (WB) analysis of IKKα/β (phospho-S176/177) polyclonal antibody at 1:500 dilution Lane1:HEK293T whole cell lysate Lane2:HEK293T treated with TNFα(20ng/ml)for 10 minutes whole cell lysate Lane3:HEK293T treated with TNFα(20ng/ml)for 40 minutes whole cell lysate Lane4:HEK293T treated with TNFα(20ng/ml)for 1 hour whole cell lysate
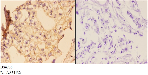
Immunohistochemistry (IHC) analyzes of p-IKKα/β (S176/177) pAb in paraffin-embedded human breast carcinoma tissue at 1:50,showing cytoplasmic and nuclear staining.Negative control (the right)Using PBS instead of primary antibody, secondary antibody is Goat Anti-Rabbit IgG-biotin followed by avidin-peroxidase.
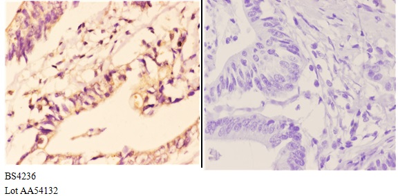
Immunohistochemistry (IHC) analyzes of p-IKKα/β (S176/177) pAb in paraffin-embedded human colon carcinoma tissue at 1:50,showing cytoplasmic and nuclear staining.Negative control (the right)Using PBS instead of primary antibody, secondary antibody is Goat Anti-Rabbit IgG-biotin followed by avidin-peroxidase.
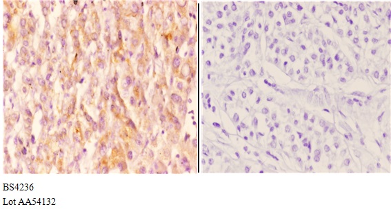
Immunohistochemistry (IHC) analyzes of p-IKKα/β (S176/177) pAb in paraffin-embedded human liver carcinoma tissue at 1:50,showing cytoplasmic and nuclear staining.Negative control (the right)Using PBS instead of primary antibody, secondary antibody is Goat Anti-Rabbit IgG-biotin followed by avidin-peroxidase.

关注我们

400-660-9091

电话:18013895086

地址:江苏生命科技创新园F6幢1层

订购:nanjing03@biogot.com

服务:biorase01@biogot.com

合作:lvyun@biogot.com

支持:may@biogot.com