中国 EN 400-660-9091

联系我们

电话:18013895086

电话:025-68037686

地址:江苏生命科技创新园F6幢1层

订购:nanjing03@biogot.com

服务:biorase01@biogot.com

合作:lvyun@biogot.com

支持:may@biogot.com

SEMA3C (E750) polyclonal antibody

货号: BS3705
价格
货期 现货(1-2个工作日)
No. :BS3705
Product Name :SEMA3C (E750) polyclonal antibody
Swiss-Prot :Q99985
Host :Rabbit
Reactivity :Human,Mouse,Rat
Applications :WB IHC
Application_all :WB: 1:500~1:1000 IHC: 1:50~1:200
Background :SEMA3C (also designated Semaphorin 3C, Semaphorin E, SEMAE, SemE,sema domain, immunoglobulin domain (Ig) and short basic domain, secreted)is an ubiquitous protein of approximately 70 kDa that mediates axonal guidance, repulsive gradients, induction of growth cone collapse and cell survival/death. Secreted SEMA3C favors survival and neuritogenesis of cultured cerebellar granule neurons (CGNs). SEMA3C from macrophages and fibroblasts that selectively directs against sympathetic nerve fibers may be one element responsible for reduced sympathetic innervation in rheumatoid arthritis tissue.SEMA3C mutant mice die within hours after birth from congenital cardiovascular defects consisting of interruption of the aortic arch and improper septation of the cardiac outflow tract. SEMA3C is expressed in the cardiac outflow ract as neural crest cells and promotes crest cell migration into the proximal cardiac outflow tract.
Product :Rabbit IgG, 1mg/ml in PBS with 0.02% sodium azide, 50% glycerol, pH7.2
Purification&Purity :The antibody was affinity-purified from rabbit antiserum by affinity-chromatography using epitope-specific immunogen and the purity is > 95% (by SDS-PAGE).
Storage&Stability :Store at 4°C short term. Aliquot and store at -20°C long term. Avoid freeze-thaw cycles.
Specificity :SEMA3C (E750) polyclonal antibody detects endogenous levels of SEMA3C protein.
BiowMW :~ 85 kDa
Note :For research use only, not for use in diagnostic procedure.
Alternative Name :Semaphorin-3C; Semaphorin-E; Sema E; SEMAE; SEMA3C
Immunogen :Synthetic peptide, corresponding to amino acids 713-768 of Human SEMA3C.
Conjugate :Unconjugated
Modification :Unmodification
Western blot (WB) analysis of SEMA3C (E750) polyclonal antibody at 1:500 dilution Lane1:MCF-7 whole cell lysate Lane2:Raw264.7 whole cell lysate Lane3:PC12 whole cell lysate
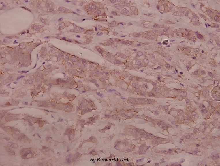
Immunohistochemistry (IHC) analyzes of SEMA3C (E750) pAb in paraffin-embedded human breast carcinoma tissue at 1:100.
  • The relationship between semaphorin 3C and microvessel density in the progression of breast and oral neoplasia
    JournalExperimental And Molecular Pathology
    ApplicationIHC
    IF3.362
    SpeciesHuman

关注我们

400-660-9091

电话:18013895086

地址:江苏生命科技创新园F6幢1层

订购:nanjing03@biogot.com

服务:biorase01@biogot.com

合作:lvyun@biogot.com

支持:may@biogot.com