中国 EN 400-660-9091

联系我们

电话:18013895086

电话:025-68037686

地址:江苏生命科技创新园F6幢1层

订购:nanjing03@biogot.com

服务:biorase01@biogot.com

合作:lvyun@biogot.com

支持:may@biogot.com

Galectin-4 (K83) polyclonal antibody

货号: BS2529
价格
货期 现货(1-2个工作日)
No. :BS2529
Product Name :Galectin-4 (K83) polyclonal antibody
Swiss-Prot :P56470
Host :Rabbit
Reactivity :Human,Mouse,Rat
Applications :WB IHC
Application_all :WB: 1:500~1:1000 IHC: 1:50~1:200
Background :Galectins are a family of soluble β-galactoside-binding animal lectins that modulate cell-to-cell adhesion and cell-to-extracellular matrix (ECM) interactions and play a role in tumor progression, pre-mRNA splicing and apoptosis. One member of this family, Galectin-4, also known as Gal-4, L36 or LGALS4 maps to human chromosome 19q13.13 and encodes a 36-37 kDa protein. The Galectin-4 protein is composed of 323 amino acids and contains two homologous carbohydrate recognition domains (CRD) and all amino acids typically conserved in the galectin family. Expression of Galectin-4 correlates with the malignant potential of human hepatocellular carcinoma (HCC) and is differentially regulated depending on cell-cell contact, serum growth factors, cell growth and cell differentiation status. Galectin-4 expression is detected in epithelial cells of the colon, rectum, intestine, and in HT29 and LS174T cell lines. Galectin-4 is underexpressed in colorectal cancer and is preferentially upregulated in cells prone to peritoneal dissemination.
Product :Rabbit IgG, 1mg/ml in PBS with 0.02% sodium azide, 50% glycerol, pH7.2
Purification&Purity :The antibody was affinity-purified from rabbit antiserum by affinity-chromatography using epitope-specific immunogen and the purity is > 95% (by SDS-PAGE).
Storage&Stability :Store at 4°C short term. Aliquot and store at -20°C long term. Avoid freeze-thaw cycles.
Specificity :Galectin-4 (K83) polyclonal antibody detects endogenous levels of Galectin-4 protein.
BiowMW :~ 36 kDa
Note :For research use only, not for use in diagnostic procedure.
Alternative Name :Galectin 4; Galectin4; Gal-4; Antigen NY-CO-27; L-36 lactose-binding protein; L36LBP; Lactose-binding lectin 4; LGALS4
Immunogen :Synthetic peptide, corresponding to amino acids 50-100 of Human Galectin-4.
Conjugate :Unconjugated
Modification :Unmodification
Western blot (WB) analysis of Galectin-4 (K83) polyclonal antibody at 1:500 dilution Lane1:HEK293T whole cell lysate Lane2:Raw264.7 whole cell lysate Lane3:H9C2 whole cell lysate
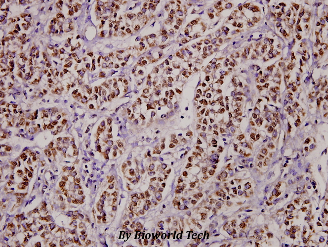
Immunohistochemistry (IHC) analyzes of Galectin-4 (K83) pAb in paraffin-embedded liver cancer tissue at 1:100.

关注我们

400-660-9091

电话:18013895086

地址:江苏生命科技创新园F6幢1层

订购:nanjing03@biogot.com

服务:biorase01@biogot.com

合作:lvyun@biogot.com

支持:may@biogot.com