电话:025-68037686
地址:江苏生命科技创新园F6幢1层
订购:nanjing03@biogot.com
服务:biorase01@biogot.com
合作:lvyun@biogot.com
支持:may@biogot.com
电话:025-68037686
地址:江苏生命科技创新园F6幢1层
订购:nanjing03@biogot.com
服务:biorase01@biogot.com
合作:lvyun@biogot.com
支持:may@biogot.com
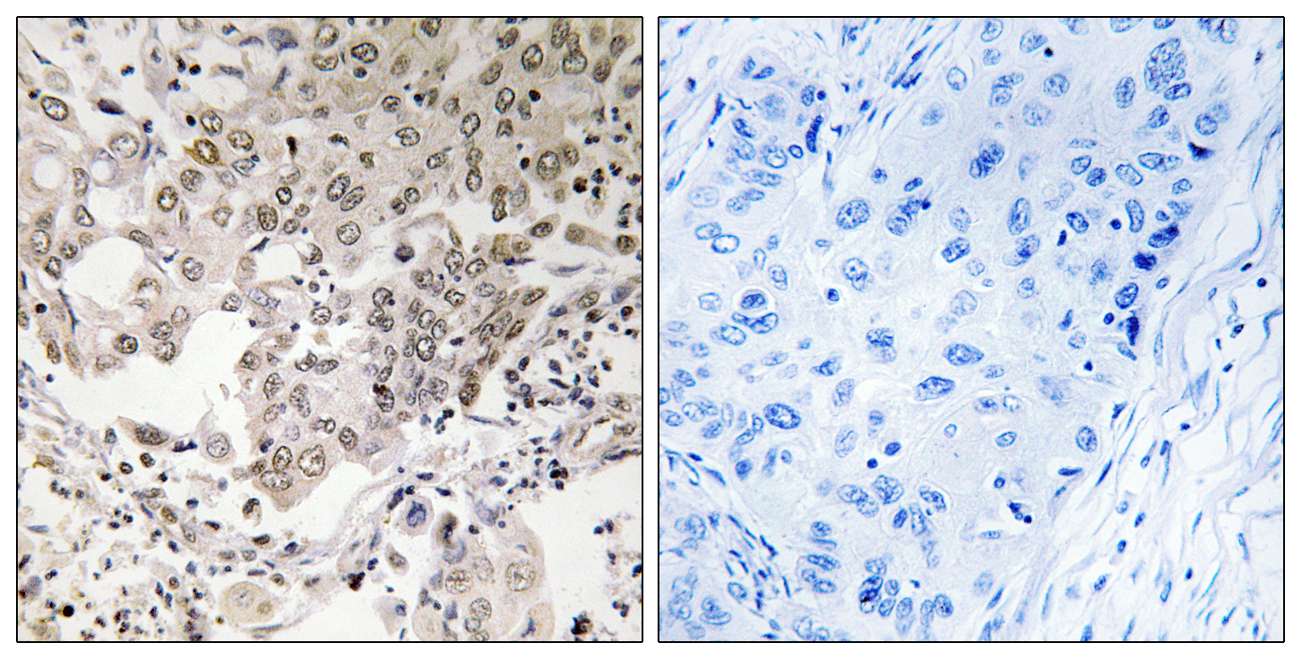
Cat No.:BZ16486
Swiss-Prot:P06748
Host:Rabbit
Reactivity:Human,Mouse,Rat
Applications:WB,IHC-F,IHC-P,ICC/IF,ELISA
Cat No.:BZ16487
Swiss-Prot:O43526/O43525/P56696/Q9NR82
Host:Rabbit
Reactivity:Human,Mouse,Rat
Applications:IHC-P,ELISA
Cat No.:BZ16489
Swiss-Prot:Q9BXA5
Host:Rabbit
Reactivity:Human,Mouse,Rat
Applications:WB,ICC/IF,ELISA
Cat No.:BZ16493
Swiss-Prot:Q9NPG3
Host:Rabbit
Reactivity:Human,Mouse
Applications:IHC-P,IHC-F,ICC/IF,ELISA
电话:025-68037686
地址:江苏生命科技创新园F6幢1层