中国 EN 400-660-9091

联系我们

电话:025-68037686

地址:江苏生命科技创新园F6幢1层

订购:nanjing03@biogot.com

服务:biorase01@biogot.com

合作:lvyun@biogot.com

支持:may@biogot.com

RBMY1A1 polyclonal antibody

货号: BS77689
价格 1140
货期 现货(1-2个工作日)
25ul 50ul 100ul 200ul
No. :BS77689
Product Name :RBMY1A1 polyclonal antibody
Swiss-Prot :P0DJD3
Host :Rabbit
Reactivity :Human, Mouse, Rat
Applications :IHC, IF/ICC
Application_all :IHC,1:50 - 1:200|IF/ICC,1:50 - 1:200
Background :This gene encodes a protein containing an RNA-binding motif in the N-terminus and four SRGY (serine, arginine, glycine, tyrosine) boxes in the C-terminus. This protein is thought to function as a splicing regulator during spermatogenesis. Multiple closely related paralogs of this gene are found in a gene cluster in the AZFb azoospermia factor region of chromosome Y. Most of these related copies are thought to be pseudogenes, though several likely encode functional proteins. [provided by RefSeq, Mar 2016]
Product :1mg/ml in PBS with 0.02% sodium azide, 50% glycerol, pH7.2
Purification&Purity :The antibody was affinity-purified from rabbit antiserum by affinity-chromatography using epitope-specific immunogen and the purity is > 95% (by SDS-PAGE).
Storage&Stability :Store at 4°C short term. Aliquot and store at -20°C long term. Avoid freeze-thaw cycles.
Specificity :Unmodification
BiowMW :Refer to figures
Note :For research use only, not for use in diagnostic procedure.
Alternative Name :RBM;RBM1;RBM2;RBMY;RBMY1C;YRRM1;YRRM2;RBMY1A1
Immunogen :Recombinant fusion protein of human RBMY1A1(NP_005049.1).
Conjugate :Unconjugated
Modification :Unmodification
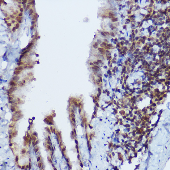
Immunohistochemistry of paraffin-embedded human colon carcinoma using RBMY1A1 Rabbit pAb at dilution of 1:100 .Perform high pressure antigen retrieval with 10 mM citrate buffer pH 6.0 before commencing with IHC staining protocol.
Immunohistochemistry of paraffin-embedded mouse lung using RBMY1A1 Rabbit pAb at dilution of 1:100 .Perform high pressure antigen retrieval with 10 mM citrate buffer pH 6.0 before commencing with IHC staining protocol.
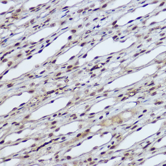
Immunohistochemistry of paraffin-embedded rat kidney using RBMY1A1 Rabbit pAb at dilution of 1:100 .Perform high pressure antigen retrieval with 10 mM citrate buffer pH 6.0 before commencing with IHC staining protocol.
Immunofluorescence analysis of mouse testis cells using RBMY1A1 Rabbit pAb at dilution of 1:100 . Blue: DAPI for nuclear staining.

关注我们

400-660-9091

电话:025-68037686

地址:江苏生命科技创新园F6幢1层

订购:nanjing03@biogot.com

服务:biorase01@biogot.com

合作:lvyun@biogot.com

支持:may@biogot.com