电话:025-68037686
地址:江苏生命科技创新园F6幢1层
订购:nanjing03@biogot.com
服务:biorase01@biogot.com
合作:lvyun@biogot.com
支持:may@biogot.com
电话:025-68037686
地址:江苏生命科技创新园F6幢1层
订购:nanjing03@biogot.com
服务:biorase01@biogot.com
合作:lvyun@biogot.com
支持:may@biogot.com
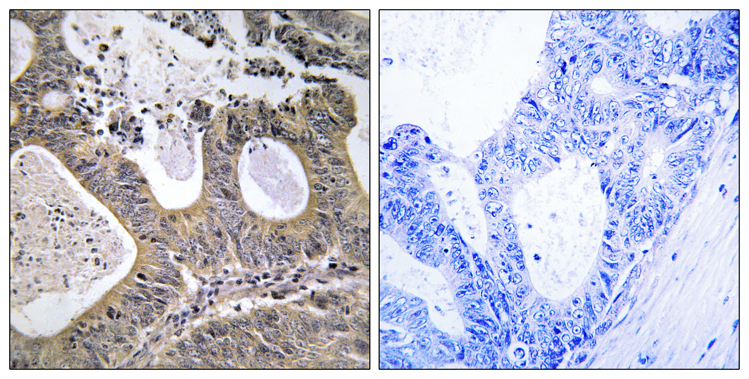
Cat No.:BZ16476
Swiss-Prot:Q8NFT2
Host:Rabbit
Reactivity:Human,Mouse
Applications:IHC-P,IHC-F,ICC/IF,ELISA
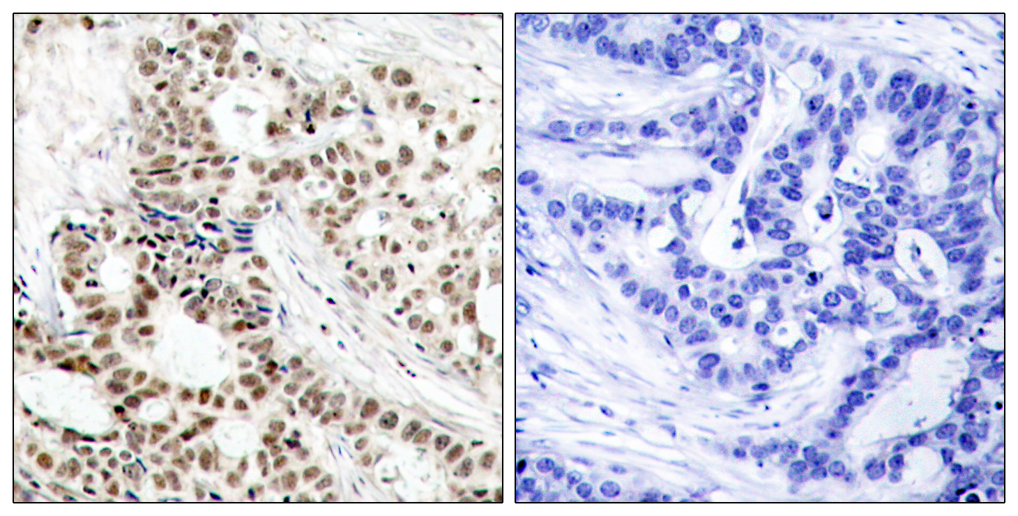
Cat No.:BZ16477
Swiss-Prot:O14920
Host:Rabbit
Reactivity:Human,Mouse,Rat,Monkey
Applications:WB,IHC-P,ELISA
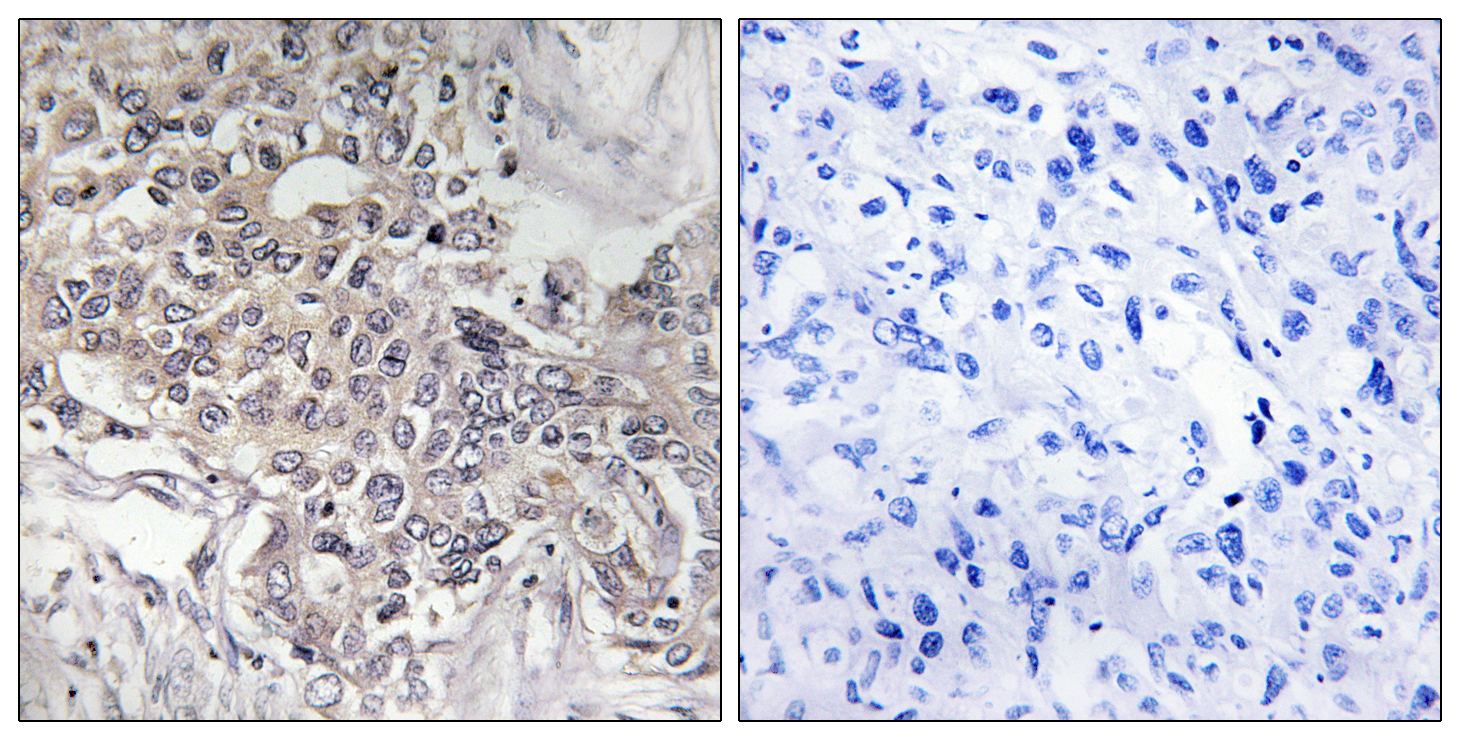
Cat No.:BZ16481
Swiss-Prot:P16284
Host:Rabbit
Reactivity:Human,Mouse
Applications:ELISA,IHC-F,IHC-P,WB,ICC/IF
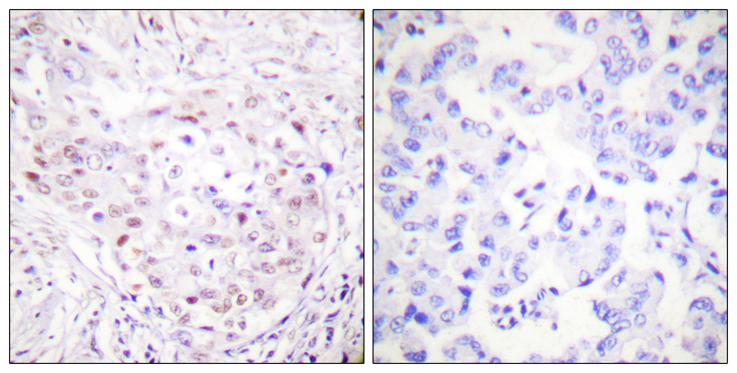
Cat No.:BZ16482
Swiss-Prot:Q86W10
Host:Rabbit
Reactivity:Human
Applications:IHC-P,IHC-F,ICC/IF,ELISA
电话:025-68037686
地址:江苏生命科技创新园F6幢1层