中国 EN 400-660-9091

联系我们

电话:18013895086

电话:025-68037686

地址:江苏生命科技创新园F6幢1层

订购:nanjing03@biogot.com

服务:biorase01@biogot.com

合作:lvyun@biogot.com

支持:may@biogot.com

UQCC2 polyclonal antibody

货号: BT10001
价格 1140
货期 现货(1-2个工作日)
25ug 50ug 100ug 200ug
No. :BT10001
Product Name :UQCC2 polyclonal antibody
Swiss-Prot :Q9BRT2
Host :Rabbit
Reactivity :Human, Mouse, Rat
Applications :WB, IHC
Application_all :WB,1:500 - 1:2000|IHC,1:50 - 1:200
Background :This gene encodes a nucleoid protein localized to the mitochondria inner membrane. The encoded protein affects regulation of insulin secretion, mitochondrial ATP production, and myogenesis through modulation of mitochondrial respiratory chain activity.
Product :Rabbit IgG, 1mg/ml in PBS with 0.02% sodium azide, 50% glycerol, pH7.2
Purification&Purity :The antibody was affinity-purified from rabbit antiserum by affinity-chromatography using epitope-specific immunogen and the purity is > 95% (by SDS-PAGE).
Storage&Stability :Store at 4°C short term. Aliquot and store at -20°C long term. Avoid freeze-thaw cycles.
Specificity :UQCC2 polyclonal antibody detects endogenous levels of UQCC2 protein.
BiowMW :~ 15 kDa
Note :For research use only, not for use in diagnostic procedure.
Alternative Name :C6orf125; MNF1; Ubiquinol-cytochrome-c reductase complex assembly factor 2; Breast cancer-associated protein SGA-81M; Mitochondrial nucleoid factor 1; Mitochondrial protein M19
Immunogen :Recombinant fusion protein of human UQCC2(NP_115716.1).
Conjugate :Unconjugated
Modification :Unmodified
1上架,0下架 :1
Western blot analysis of UQCC2 expression in HepG2 (A), mouse heart (B), rat brain (C) whole cell lysates.
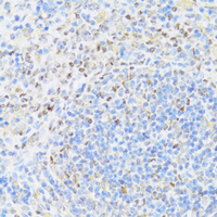
Immunohistochemical analysis of UQCC2 staining in rat spleen formalin fixed paraffin embedded tissue section.

关注我们

400-660-9091

电话:18013895086

地址:江苏生命科技创新园F6幢1层

订购:nanjing03@biogot.com

服务:biorase01@biogot.com

合作:lvyun@biogot.com

支持:may@biogot.com