电话:18013895086
电话:025-68037686
地址:江苏生命科技创新园F6幢1层
订购:nanjing03@biogot.com
服务:biorase01@biogot.com
合作:lvyun@biogot.com
支持:may@biogot.com
电话:18013895086
电话:025-68037686
地址:江苏生命科技创新园F6幢1层
订购:nanjing03@biogot.com
服务:biorase01@biogot.com
合作:lvyun@biogot.com
支持:may@biogot.com

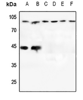
Cat No.:BS6677
Swiss-Prot:O95644
Host:Rabbit
Reactivity:Human, Mouse, Rat
Applications:WB, IHC, IF/ICC
Cat No.:BS79468
Swiss-Prot:P17676
Host:Rabbit
Reactivity:Human, Mouse, Rat, Bovine, Pig
Applications:WB, IHC, IF/ICC
Cat No.:BS7441
Swiss-Prot:O60763
Host:Rabbit
Reactivity:Human, Mouse, Rat
Applications:WB IHC IF/ICC IP
Cat No.:MB67282
Swiss-Prot:P01308
Host:Mouse
Reactivity:Human,Mouse,Rat
Applications:WB IHC IF/ICC IP

电话:18013895086
地址:江苏生命科技创新园F6幢1层