中国 EN 400-660-9091

联系我们

电话:18013895086

电话:025-68037686

地址:江苏生命科技创新园F6幢1层

订购:nanjing03@biogot.com

服务:biorase01@biogot.com

合作:lvyun@biogot.com

支持:may@biogot.com

Phospho-C/EBPB-T235 polyclonal antibody

货号: BS79468
价格 1680
货期 现货(1-2个工作日)
25ug 50ug 100ug 200ug
No. :BS79468
Product Name :Phospho-C/EBPB-T235 polyclonal antibody
Swiss-Prot :P17676
Host :Rabbit
Reactivity :Human, Mouse, Rat, Bovine, Pig
Applications :WB, IHC, IF/ICC
Application_all :WB,1:500 - 1:1000|IHC,1:100 - 1:200|IF/ICC,1:100 - 1:500
Background :This intronless gene encodes a transcription factor that contains a basic leucine zipper (bZIP) domain. The encoded protein functions as a homodimer but can also form heterodimers with CCAAT/enhancer-binding proteins alpha, delta, and gamma. Activity of this protein is important in the regulation of genes involved in immune and inflammatory responses, among other processes. The use of alternative in-frame AUG start codons results in multiple protein isoforms, each with distinct biological functions.
Product :1mg/ml in PBS with 0.02% sodium azide, 50% glycerol, pH7.2
Purification&Purity :The antibody was affinity-purified from rabbit antiserum by affinity-chromatography using epitope-specific immunogen and the purity is > 95% (by SDS-PAGE).
Storage&Stability :Store at 4°C short term. Aliquot and store at -20°C long term. Avoid freeze-thaw cycles.
Specificity :Phospho-C/EBPB-T235 polyclonal antibody detects endogenous levels of C/EBPB protein only when phosphorylated at Thr235.
BiowMW :38KDa
Note :For research use only, not for use in diagnostic procedure.
Alternative Name :TCF5; CCAAT/enhancer-binding protein beta; C/EBP beta; Liver activator protein; LAP; Liver-enriched inhibitory protein; LIP; Nuclear factor NF-IL6; Transcription factor 5; TCF-5
Immunogen :KLH-conjugated synthetic phosphopeptide corresponding to residues surrounding T235 of human C/EBPB protein.
Conjugate :Unconjugated
Modification :Phosphorylated
1上架,0下架 :1
Western blot analysis of Phospho-C/EBPB-T235 expression in HEK293T (A), MCF7-insulin-5min (B), MCF7 (C) whole cell lysates.
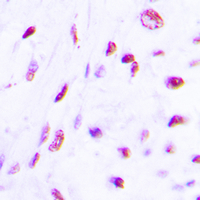
Immunohistochemical analysis of Phospho-C/EBPB-T235 staining in human lung cancer formalin fixed paraffin embedded tissue section.
Immunofluorescent analysis of Phospho-C/EBPB-T235 staining in HEK293T cells.

关注我们

400-660-9091

电话:18013895086

地址:江苏生命科技创新园F6幢1层

订购:nanjing03@biogot.com

服务:biorase01@biogot.com

合作:lvyun@biogot.com

支持:may@biogot.com