中国 EN 400-660-9091

联系我们

电话:025-68037686

地址:江苏生命科技创新园F6幢1层

订购:nanjing03@biogot.com

服务:biorase01@biogot.com

合作:lvyun@biogot.com

支持:may@biogot.com

PI3 Kinase p110 delta polyclonal antibody

货号: BS76714
价格 1140
货期 现货(1-2个工作日)
25ug 50ug 100ug 200ug
No. :BS76714
Product Name :PI3 Kinase p110 delta polyclonal antibody
Swiss-Prot :O00329
Host :Rabbit
Reactivity :Human, Mouse, Rat
Applications :WB, IHC, IF/ICC
Application_all :WB,1:500 - 1:1000|IHC,1:50 - 1:100|IF/ICC,1:50 - 1:200
Background :Phosphoinositide 3-kinases (PI3Ks) phosphorylate inositol lipids and are involved in the immune response. The protein encoded by this gene is a class I PI3K found primarily in leukocytes. Like other class I PI3Ks (p110-alpha p110-beta, and p110-gamma), the encoded protein binds p85 adapter proteins and GTP-bound RAS. However, unlike the other class I PI3Ks, this protein phosphorylates itself, not p85 protein.
Product :1mg/ml in PBS with 0.02% sodium azide, 50% glycerol, pH7.2
Purification&Purity :The antibody was affinity-purified from rabbit antiserum by affinity-chromatography using epitope-specific immunogen and the purity is > 95% (by SDS-PAGE).
Storage&Stability :Store at 4°C short term. Aliquot and store at -20°C long term. Avoid freeze-thaw cycles.
Specificity :PI3 Kinase p110 delta polyclonal antibody detects endogenous levels of PI3 Kinase p110 delta protein.
BiowMW :~ 110 kDa
Note :For research use only, not for use in diagnostic procedure.
Alternative Name :Phosphatidylinositol 4,5-bisphosphate 3-kinase catalytic subunit delta isoform; PI3-kinase subunit delta; PI3K-delta; PI3Kdelta; PtdIns-3-kinase subunit delta; Phosphatidylinositol 4,5-bisphosphate 3-kinase 110 kDa catalytic subunit delta; PtdIns-3-kinase subunit p110-delta; p110delta
Immunogen :KLH-conjugated synthetic peptide encompassing a sequence within the C-term region of human PI3 Kinase p110 delta.
Conjugate :Unconjugated
Modification :Unmodified
Western blot analysis of PI3 Kinase p110 delta expression in Raw264.7 (A), Myla2059 (B), H1792 (C), A549 (D) whole cell lysates.
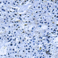
Immunohistochemical analysis of PI3 Kinase p110 delta staining in human liver cancer formalin fixed paraffin embedded tissue section.
Immunofluorescent analysis of PI3 Kinase p110 delta staining in RAW264.7 cells.

关注我们

400-660-9091

电话:18013895086

地址:江苏生命科技创新园F6幢1层

订购:nanjing03@biogot.com

服务:biorase01@biogot.com

合作:lvyun@biogot.com

支持:may@biogot.com