中国 EN 400-660-9091

联系我们

电话:025-68037686

地址:江苏生命科技创新园F6幢1层

订购:nanjing03@biogot.com

服务:biorase01@biogot.com

合作:lvyun@biogot.com

支持:may@biogot.com

CB2 polyclonal antibody

货号: BS72043
价格 1140
货期 现货(1-2个工作日)
25ug 50ug 100ug 200ug
No. :BS72043
Product Name :CB2 polyclonal antibody
Swiss-Prot :P34972
Host :Rabbit
Reactivity :Human,Mouse,Rat
Applications :WB IHC
Application_all :WB 1:500 - 1:2000 IHC 1:50 - 1:200
Background :The cannabinoid receptors (CB1 and CB2) are G protein-coupled receptors that inhibit adenylate cyclase activity in response to psychoactive cannabinoids.CB1 is expressed in brain tissue and, in low levels, in testis. CB2 is expressed only by cells of the immune system. The cannabinoid receptors mediate most of the cannabinoid-induced responses in a dose-dependent, stereoselective manner. This response system is thought to be involved in specific brain functions, such as nociception, control of movement, memory and neuroendocrine regulation, as well as having a possible role in brain development. In addition, CB1 may mediate the addictive behavior involved with the use of psychoactive cannabinoids, such as THC in marijuana.
Product :Rabbit IgG, 1mg/ml in PBS with 0.02% sodium azide, 50% glycerol, pH7.2
Purification&Purity :The antibody was affinity-purified from rabbit antiserum by affinity-chromatography using epitope-specific immunogen and the purity is > 95% (by SDS-PAGE).
Storage&Stability :Store at 4°C short term. Aliquot and store at -20°C long term. Avoid freeze-thaw cycles.
Specificity :CB2 polyclonal antibody detects endogenous levels of CB2 protein.
BiowMW :40kDa
Note :For research use only, not for use in diagnostic procedure.
Alternative Name :CB2A; CB2B; Cannabinoid receptor 2; CB-2; CB2; hCB2; CX5
Immunogen :A synthetic peptide of human CNR2
Conjugate :Unconjugated
Modification :Unmodified
Western blot analysis of CB2 expression in mouse liver (A), rat brain (B) whole cell lysates.
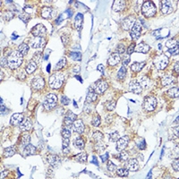
Immunohistochemical analysis of CB2 staining in human breast cancer formalin fixed paraffin embedded tissue section.

关注我们

400-660-9091

电话:18013895086

地址:江苏生命科技创新园F6幢1层

订购:nanjing03@biogot.com

服务:biorase01@biogot.com

合作:lvyun@biogot.com

支持:may@biogot.com