中国 EN 400-660-9091

联系我们

电话:025-68037686

地址:江苏生命科技创新园F6幢1层

订购:nanjing03@biogot.com

服务:biorase01@biogot.com

合作:lvyun@biogot.com

支持:may@biogot.com

Bcl-9 polyclonal antibody

货号: BS71650
价格 1140
货期 现货(1-2个工作日)
25ug 50ug 100ug 200ug
No. :BS71650
Product Name :Bcl-9 polyclonal antibody
Swiss-Prot :Q9D219
Host :Rabbit
Reactivity :Human, Mouse, Rat
Applications :WB, IHC-P
Application_all :WB,1:500 - 1:2000|IHC-P,1:50 - 1:200
Background :B-cell CLL/lymphoma 9 protein (BCL9) is a widely conserved adaptor protein that functions as a transcriptional co-activator in the canonical Wnt signaling pathway. BCL9 is a core component of a nuclear protein complex (BCL9, LEF/TCF, β-catenin and PYGO) that regulates the transcription of Wnt-dependent target genes. Research studies show that disrupting the interaction between BCL9 and β-catenin suppresses oncogenic Wnt signaling, suggesting a potential avenue for therapeutic intervention in Wnt-mediated cancers. BCL9 promotes association of PYGO with the tail of histone H3 that has been methylated at lysine 4 (H3K4me), suggesting a specific chromatin remodeling function for BCL9 in the Wnt signaling pathway. Research studies in colon epithelium and adenocarcinomas suggest that BCL9 is required to mediate Wnt-dependent stem cell behaviors, such as epithelial-mesenchymal transition. Crystallography studies revealed that BCL9 contains a β-catenin binding site that is distinct from the majority of known β-catenin binding partners, making it an attractive target for therapeutic drug development.
Product :1mg/ml in PBS with 0.02% sodium azide, 50% glycerol, pH7.2
Purification&Purity :The antibody was affinity-purified from rabbit antiserum by affinity-chromatography using epitope-specific immunogen and the purity is > 95% (by SDS-PAGE).
Storage&Stability :Store at 4°C short term. Aliquot and store at -20°C long term. Avoid freeze-thaw cycles.
Specificity :Bcl-9 polyclonal antibody detects endogenous levels of Bcl-9 protein.
BiowMW :~ 160, 170 kDa
Note :For research use only, not for use in diagnostic procedure.
Alternative Name :Gm130; 2610202E01Rik; 8030475K17Rik; A330041G23Rik; Bcl9
Immunogen :A synthetic peptide of mouse Bcl-9.
Conjugate :Unconjugated
Modification :Unmodified
Western blot analysis of various lysates using Bcl-9 pAb at 1:400 dilution.
Western blot analysis of various lysates using Bcl-9 pAb at 1:1000 dilution.
Western blot analysis of lysates from wild type (WT) and Bcl-9 knockdown (KD) 293T cells using Bcl-9 pAb at 1:1000 dilution.
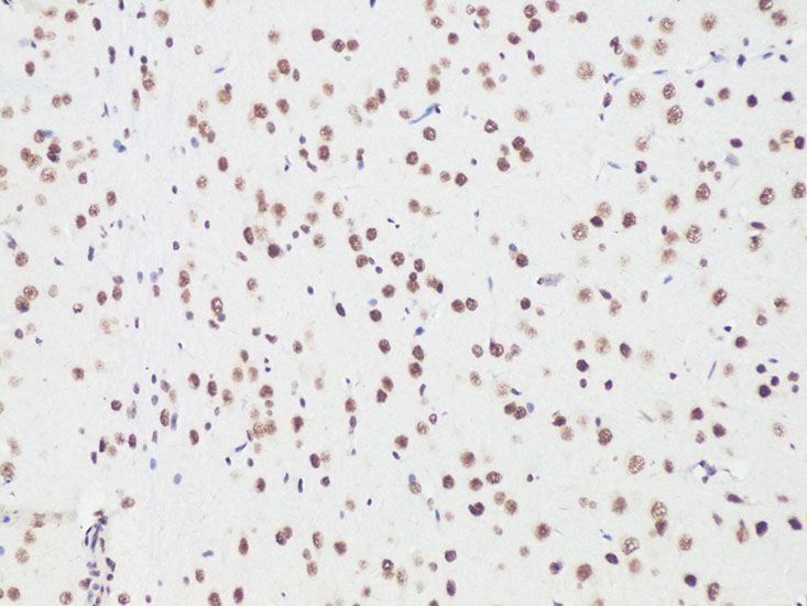
Immunohistochemistry analysis of paraffin-embedded Rat brain using Bcl-9 pAb at dilution of 1:100 (20x lens).

关注我们

400-660-9091

电话:18013895086

地址:江苏生命科技创新园F6幢1层

订购:nanjing03@biogot.com

服务:biorase01@biogot.com

合作:lvyun@biogot.com

支持:may@biogot.com