中国 EN 400-660-9091

联系我们

电话:18013895086

电话:025-68037686

地址:江苏生命科技创新园F6幢1层

订购:nanjing03@biogot.com

服务:biorase01@biogot.com

合作:lvyun@biogot.com

支持:may@biogot.com

CD316 polyclonal antibody

货号: BS66254
价格 1140
货期 现货(1-2个工作日)
25ul 50ul 100ul 200ul
No. :BS66254
Product Name :CD316 polyclonal antibody
Swiss-Prot :Q969P0
Host :Rabbit
Reactivity :Human, Mouse
Applications :WB, IHC
Application_all :WB,1:500 - 1:1000|IHC,1:50 - 1:100
Background :This gene encodes a member the EWI subfamily of the immunoglobulin protein superfamily. Members of this family contain a single transmembrane domain, an EWI (Glu-Trp-Ile)-motif and a variable number of immunoglobulin domains. This protein interacts with the tetraspanins CD81 and CD9 and may regulate their role in certain cellular functions including cell migration and viral infection. The encoded protein may also function as a tumor suppressor by inhibiting the proliferation of certain cancers. Alternate splicing results in multiple transcript variants that encode the same protein.
Product :1mg/ml in PBS with 0.02% sodium azide, 50% glycerol, pH7.2
Purification&Purity :The antibody was affinity-purified from rabbit antiserum by affinity-chromatography using epitope-specific immunogen and the purity is > 95% (by SDS-PAGE).
Storage&Stability :Store at 4°C short term. Aliquot and store at -20°C long term. Avoid freeze-thaw cycles.
Specificity :CD316 polyclonal antibody detects endogenous levels of CD316 protein.
BiowMW :65kDa
Note :For research use only, not for use in diagnostic procedure.
Alternative Name :CD81P3; EWI2; KCT4; Immunoglobulin superfamily member 8; IgSF8; CD81 partner 3; Glu-Trp-Ile EWI motif-containing protein 2; EWI-2; Keratinocytes-associated transmembrane protein 4; KCT-4; LIR-D1; Prostaglandin regulatory-like protein; PGRL; CD316
Immunogen :KLH-conjugated synthetic peptide encompassing a sequence within the center region of human CD316.
Conjugate :Unconjugated
Modification :Unmodified
1上架,0下架 :1
Western blot analysis of CD316 expression in HEK293T (A), Hela (B) whole cell lysates.
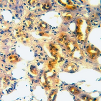
Immunohistochemical analysis of CD316 staining in human kidney cancer formalin fixed paraffin embedded tissue section.

关注我们

400-660-9091

电话:18013895086

地址:江苏生命科技创新园F6幢1层

订购:nanjing03@biogot.com

服务:biorase01@biogot.com

合作:lvyun@biogot.com

支持:may@biogot.com