中国 EN 400-660-9091

联系我们

电话:025-68037686

地址:江苏生命科技创新园F6幢1层

订购:nanjing03@biogot.com

服务:biorase01@biogot.com

合作:lvyun@biogot.com

支持:may@biogot.com

CD120a polyclonal antibody

货号: BS66241
价格 1140
货期 现货(1-2个工作日)
25ug 50ug 100ug 200ug
No. :BS66241
Product Name :CD120a polyclonal antibody
Swiss-Prot :P19438
Host :Rabbit
Reactivity :Human, Mouse, Rat, Monkey
Applications :WB, IHC, IF/ICC
Application_all :WB,1:500 - 1:1000|IHC,1:100 - 1:200|IF/ICC,1:50 - 1:200
Background :This gene encodes a member of the TNF receptor superfamily of proteins. The encoded receptor is found in membrane-bound and soluble forms that interact with membrane-bound and soluble forms, respectively, of its ligand, tumor necrosis factor alpha. Binding of membrane-bound tumor necrosis factor alpha to the membrane-bound receptor induces receptor trimerization and activation, which plays a role in cell survival, apoptosis, and inflammation. Proteolytic processing of the encoded receptor results in release of the soluble form of the receptor, which can interact with free tumor necrosis factor alpha to inhibit inflammation. Mutations in this gene underlie tumor necrosis factor receptor-associated periodic syndrome (TRAPS), characterized by fever, abdominal pain and other features. Mutations in this gene may also be associated with multiple sclerosis in human patients.
Product :1mg/ml in PBS with 0.02% sodium azide, 50% glycerol, pH7.2
Purification&Purity :The antibody was affinity-purified from rabbit antiserum by affinity-chromatography using epitope-specific immunogen and the purity is > 95% (by SDS-PAGE).
Storage&Stability :Store at 4°C short term. Aliquot and store at -20°C long term. Avoid freeze-thaw cycles.
Specificity :CD120a polyclonal antibody detects endogenous levels of CD120a protein.
BiowMW :~ 60, 38, 25 kDa
Note :For research use only, not for use in diagnostic procedure.
Alternative Name :TNFAR; TNFR1; Tumor necrosis factor receptor superfamily member 1A; Tumor necrosis factor receptor 1; TNF-R1; Tumor necrosis factor receptor type I; TNF-RI; TNFR-I; p55; p60; CD120a
Immunogen :KLH-conjugated synthetic peptide encompassing a sequence within the C-term region of human CD120a.
Conjugate :Unconjugated
Modification :Unmodified
Western blot analysis of CD120a expression in HeLa (A), mouse liver (B), rat liver (C) whole cell lysates.
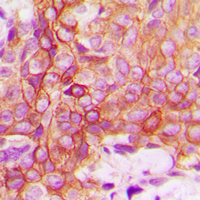
Immunohistochemical analysis of CD120a staining in human breast cancer formalin fixed paraffin embedded tissue section.
Immunofluorescent analysis of CD120a staining in MCF7 cells.

关注我们

400-660-9091

电话:18013895086

地址:江苏生命科技创新园F6幢1层

订购:nanjing03@biogot.com

服务:biorase01@biogot.com

合作:lvyun@biogot.com

支持:may@biogot.com