中国 EN 400-660-9091

联系我们

电话:025-68037686

地址:江苏生命科技创新园F6幢1层

订购:nanjing03@biogot.com

服务:biorase01@biogot.com

合作:lvyun@biogot.com

支持:may@biogot.com

CD144 Recombinant Rabbit mAb

货号: BS66239
价格 1350
货期 现货(1-2个工作日)
25ug 50ug 100ug 200ug
No. :BS66239
Product Name :CD144 Recombinant Rabbit mAb
Swiss-Prot :P55284
Host :Rabbit
Reactivity :Mouse, Rat
Applications :WB, IHC, IF/ICC, IP
Application_all :WB,1:500 - 1:1000|IHC,1:50 - 1:200|IF/ICC,1:50 - 1:200|IP,1:10 - 1:50
Background :The cadherins are a family of Ca 2+-dependent adhesion molecules that function to mediate cell-cell binding critical to the maintenance of tissue structure and morphogenesis. Cadherins each contain a large extracellular domain at the amino-terminus, which is characterized by a series of five homologous repeats, the most distal of which is thought to be responsible for binding specificity. The relatively short carboxy-terminal, intracellular domain interacts with a variety of cytoplasmic proteins, including β-catenin, to regulate cadherin function. VE-cadherin (for vascular endothelial cadherin, also designated cadherin-5) is localized at intercellular junctions of endothelial cells, where it is thought to play a role in the cohesion and organization of intercellular junctions.
Product :Rabbit IgG, 1mg/ml in PBS with 0.02% sodium azide, 50% glycerol, pH7.2
Purification&Purity :The antibody was purified by immunogen affinity chromatography.
Storage&Stability :Store at 4°C short term. Aliquot and store at -20°C long term. Avoid freeze-thaw cycles.
Specificity :CD144 Recombinant Rabbit mAb detects endogenous levels of CD144 protein.
BiowMW :~ 90-140 kDa
Note :For research use only, not for use in diagnostic procedure.
Alternative Name :Cadherin-5; 7B4 antigen; Vascular endothelial cadherin; VE-cadherin; CD144
Immunogen :KLH-conjugated synthetic peptide encompassing a sequence within mouse CD144 protein.
Conjugate :Unconjugated
Modification :Unmodified
Western blot analysis of CD144 expression in mouse lung (A) whole cell lysates.
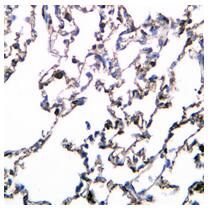
Immunohistochemical analysis of CD144 staining in rat lung formalin fixed paraffin embedded tissue section.
Immunofluorescent analysis of CD144 staining in bEnd.3 cells.

关注我们

400-660-9091

电话:18013895086

地址:江苏生命科技创新园F6幢1层

订购:nanjing03@biogot.com

服务:biorase01@biogot.com

合作:lvyun@biogot.com

支持:may@biogot.com