电话:025-68037686
地址:江苏生命科技创新园F6幢1层
订购:nanjing03@biogot.com
服务:biorase01@biogot.com
合作:lvyun@biogot.com
支持:may@biogot.com
电话:025-68037686
地址:江苏生命科技创新园F6幢1层
订购:nanjing03@biogot.com
服务:biorase01@biogot.com
合作:lvyun@biogot.com
支持:may@biogot.com

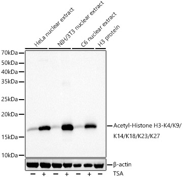
Cat No.:BS79331
Swiss-Prot:P68431
Host:Rabbit
Reactivity:Human, Mouse, Rat, Other (Wide Range)
Applications:DB, WB, ChIP
Cat No.:BS79332
Swiss-Prot:P62805
Host:Rabbit
Reactivity:Human, Mouse, Rat, Other (Wide Range)
Applications:WB
Cat No.:BS79333
Swiss-Prot:P62805
Host:Rabbit
Reactivity:Human, Mouse, Rat, Other (Wide Range)
Applications:WB, IHC, ChIP
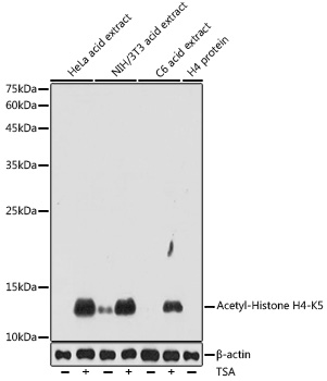
Cat No.:BS79335
Swiss-Prot:P68431
Host:Rabbit
Reactivity:Human, Mouse, Rat, Other (Wide Range)
Applications:WB
Cat No.:BS79340
Swiss-Prot:Q16695
Host:Rabbit
Reactivity:Human, Mouse, Rat, Other (Wide Range)
Applications:WB, IHC, IF/ICC, IP, ChIP, ChIP-seq
Cat No.:BS79341
Host:Rabbit
Reactivity:Human, Mouse, Rat
Applications:WB,DB

电话:18013895086
地址:江苏生命科技创新园F6幢1层