中国 EN 400-660-9091

联系我们

电话:025-68037686

地址:江苏生命科技创新园F6幢1层

订购:nanjing03@biogot.com

服务:biorase01@biogot.com

合作:lvyun@biogot.com

支持:may@biogot.com

Bax polyclonal antibody

货号: BS79706
价格 1680
货期 现货(1-2个工作日)
25ul 50ul 100ul
No. :BS79706
Product Name :Bax polyclonal antibody
Swiss-Prot :Q07812
Host :Rabbit
Reactivity :Human, Mouse, Rat
Applications :WB, IHC, IF/ICC
Application_all :WB,1:500 - 1:1000|IHC,1:100 - 1:200|IF/ICC,1:100 - 1:500
Background :The protein encoded by this gene belongs to the BCL2 protein family. BCL2 family members form hetero- or homodimers and act as anti- or pro-apoptotic regulators that are involved in a wide variety of cellular activities. This protein forms a heterodimer with BCL2, and functions as an apoptotic activator. This protein is reported to interact with, and increase the opening of, the mitochondrial voltage-dependent anion channel (VDAC), which leads to the loss in membrane potential and the release of cytochrome c. The expression of this gene is regulated by the tumor suppressor P53 and has been shown to be involved in P53-mediated apoptosis. Multiple alternatively spliced transcript variants, which encode different isoforms, have been reported for this gene.
Product :Rabbit IgG, 1mg/ml in PBS with 0.02% sodium azide, 50% glycerol, pH7.5.
Purification&Purity :The antibody was affinity-purified from rabbit antiserum by affinity-chromatography using epitope-specific immunogen and the purity is > 95% (by SDS-PAGE).
Storage&Stability :Store at 4°C short term. Aliquot and store at -20°C long term. Avoid freeze-thaw cycles.
Specificity :Bax polyclonal antibody detects endogenous levels of Bax protein.
BiowMW :~ 20 kDa
Note :For research use only, not for use in diagnostic procedure.
Alternative Name :BCL2L4;BAX
Immunogen :KLH-conjugated synthetic peptide encompassing a sequence within the center region of human BAX.
Conjugate :Unconjugated
Modification :Unmodified
Western blot analysis of BAX expression in mouse brain (A), rat brain (B), A2780 (C), MCF7 (D) whole cell lysates.
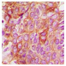
Immunohistochemical analysis of BAX staining in human breast cancer formalin fixed paraffin embedded tissue section.
Immunofluorescent analysis of BAX staining in A549 cells.
  • m6A-modified circZNF548 regulates exosomal miR-7108-3p to activate CD3+CD8+ T cells and suppress NSCLC growth by JMY
    JournalBMC BIOLOGY
    ApplicationWB
    IF4.5
    SpeciesHuman

关注我们

400-660-9091

电话:18013895086

地址:江苏生命科技创新园F6幢1层

订购:nanjing03@biogot.com

服务:biorase01@biogot.com

合作:lvyun@biogot.com

支持:may@biogot.com