中国 EN 400-660-9091

联系我们

电话:025-68037686

地址:江苏生命科技创新园F6幢1层

订购:nanjing03@biogot.com

服务:biorase01@biogot.com

合作:lvyun@biogot.com

支持:may@biogot.com

Phospho-PTEN-S380/T382/383 polyclonal antibody

货号: BS79503
价格 1680
货期 现货(1-2个工作日)
25ul 50ul 100ul
No. :BS79503
Product Name :Phospho-PTEN-S380/T382/383 polyclonal antibody
Swiss-Prot :P60484
Host :Rabbit
Reactivity :Human, Mouse, Rat
Applications :IHC
Application_all :IHC,1:50 - 1:200
Background :This gene was identified as a tumor suppressor that is mutated in a large number of cancers at high frequency. The protein encoded by this gene is a phosphatidylinositol-3,4,5-trisphosphate 3-phosphatase. It contains a tensin like domain as well as a catalytic domain similar to that of the dual specificity protein tyrosine phosphatases. Unlike most of the protein tyrosine phosphatases, this protein preferentially dephosphorylates phosphoinositide substrates. It negatively regulates intracellular levels of phosphatidylinositol-3,4,5-trisphosphate in cells and functions as a tumor suppressor by negatively regulating AKT/PKB signaling pathway. The use of a non-canonical (CUG) upstream initiation site produces a longer isoform that initiates translation with a leucine, and is thought to be preferentially associated with the mitochondrial inner membrane. This longer isoform may help regulate energy metabolism in the mitochondria. A pseudogene of this gene is found on chromosome 9. Alternative splicing and the use of multiple translation start codons results in multiple transcript variants encoding different isoforms.
Product :1mg/ml in PBS with 0.02% sodium azide, 50% glycerol, pH7.2
Purification&Purity :The antibody was affinity-purified from rabbit antiserum by affinity-chromatography using epitope-specific immunogen and the purity is > 95% (by SDS-PAGE).
Storage&Stability :Store at 4°C short term. Aliquot and store at -20°C long term. Avoid freeze-thaw cycles.
Specificity :Phosphorylated
BiowMW :Refer to figures
Note :For research use only, not for use in diagnostic procedure.
Alternative Name :10q23del;BZS;CWS1;DEC;GLM2;MHAM;MMAC1;PTEN1;TEP1;PTEN;PTENbeta
Immunogen :A synthetic phosphorylated peptide around S380 & T382 & T383 of human PTEN(NP_000305.3).
Conjugate :Unconjugated
Modification :Phosphorylated
Immunohistochemistry of paraffin-embedded human colon carcinoma using Phospho-PTEN-S380/T382/383 Rabbit pAb at dilution of 1:200 .Perform high pressure antigen retrieval with 10 mM citrate buffer pH 6.0 before commencing with IHC staining protocol.
Immunohistochemistry of paraffin-embedded mouse heart using Phospho-PTEN-S380/T382/383 Rabbit pAb at dilution of 1:200 .Perform high pressure antigen retrieval with 10 mM citrate buffer pH 6.0 before commencing with IHC staining protocol.
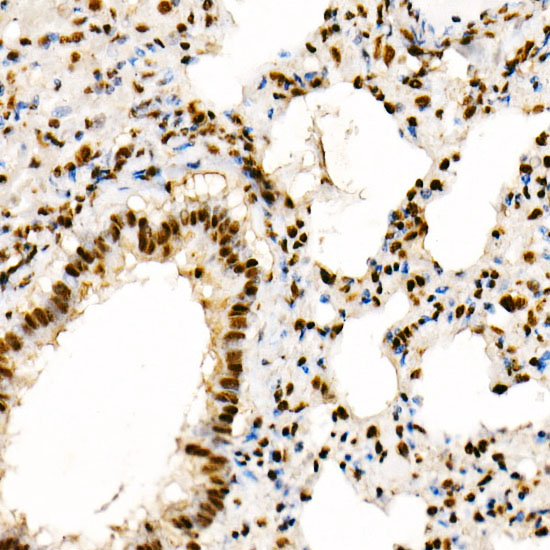
Immunohistochemistry of paraffin-embedded rat lung using Phospho-PTEN-S380/T382/383 Rabbit pAb at dilution of 1:200 .Perform high pressure antigen retrieval with 10 mM citrate buffer pH 6.0 before commencing with IHC staining protocol.

关注我们

400-660-9091

电话:18013895086

地址:江苏生命科技创新园F6幢1层

订购:nanjing03@biogot.com

服务:biorase01@biogot.com

合作:lvyun@biogot.com

支持:may@biogot.com