中国 EN 400-660-9091

联系我们

电话:025-68037686

地址:江苏生命科技创新园F6幢1层

订购:nanjing03@biogot.com

服务:biorase01@biogot.com

合作:lvyun@biogot.com

支持:may@biogot.com

Phospho-c-Jun-S63 polyclonal antibody

货号: BS79494
价格 1680
货期 现货(1-2个工作日)
25ul 50ul 100ul
No. :BS79494
Product Name :Phospho-c-Jun-S63 polyclonal antibody
Swiss-Prot :P05412
Host :Rabbit
Reactivity :Human, Mouse, Rat
Applications :WB, IHC
Application_all :WB,1:500 - 1:2000|IHC,1:50 - 1:200
Background :This gene is the putative transforming gene of avian sarcoma virus 17. It encodes a protein which is highly similar to the viral protein, and which interacts directly with specific target DNA sequences to regulate gene expression. This gene is intronless and is mapped to 1p32-p31, a chromosomal region involved in both translocations and deletions in human malignancies.
Product :1mg/ml in PBS with 0.02% sodium azide, 50% glycerol, pH7.2
Purification&Purity :The antibody was affinity-purified from rabbit antiserum by affinity-chromatography using epitope-specific immunogen and the purity is > 95% (by SDS-PAGE).
Storage&Stability :Store at 4°C short term. Aliquot and store at -20°C long term. Avoid freeze-thaw cycles.
Specificity :Phosphorylated
BiowMW :44KDa
Note :For research use only, not for use in diagnostic procedure.
Alternative Name :AP-1;AP1;c-Jun;JUN;c
Immunogen :A synthetic phosphorylated peptide around S63 of human Jun(NP_002219.1).
Conjugate :Unconjugated
Modification :Phosphorylated
Western blot analysis of extracts of 293T cells, using Phospho-c-Jun-S63 antibody at 1:1000 dilution.293T cells were treated by Anisomycin at 37℃ for 30 minutes after serum-starvation overnight.
Secondary antibody: HRP Goat Anti-Rabbit IgG at 1:10000 dilution.
Lysates/proteins: 25ug per lane.
Blocking buffer: 3% nonfat dry milk in TBST.
Detection: ECL Basic Kit .
Exposure time: 30s.
Immunohistochemistry of paraffin-embedded rat brain using Phospho-c-Jun-S63 Rabbit pAb at dilution of 1:250 .Perform high pressure antigen retrieval with 10 mM citrate buffer pH 6.0 before commencing with IHC staining protocol.
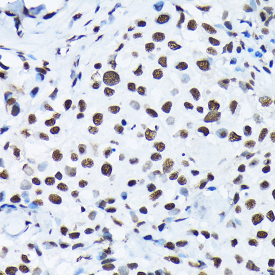
Immunohistochemistry of paraffin-embedded human breast cancer using Phospho-c-Jun-S63 Rabbit pAb at dilution of 1:250 .Perform high pressure antigen retrieval with 10 mM citrate buffer pH 6.0 before commencing with IHC staining protocol.
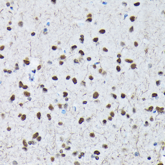
Immunohistochemistry of paraffin-embedded mouse brain using Phospho-c-Jun-S63 Rabbit pAb at dilution of 1:250 .Perform high pressure antigen retrieval with 10 mM citrate buffer pH 6.0 before commencing with IHC staining protocol.

关注我们

400-660-9091

电话:18013895086

地址:江苏生命科技创新园F6幢1层

订购:nanjing03@biogot.com

服务:biorase01@biogot.com

合作:lvyun@biogot.com

支持:may@biogot.com