中国 EN 400-660-9091

联系我们

电话:025-68037686

地址:江苏生命科技创新园F6幢1层

订购:nanjing03@biogot.com

服务:biorase01@biogot.com

合作:lvyun@biogot.com

支持:may@biogot.com

Phospho-FOXO1-S319 polyclonal antibody

货号: BS79475
价格 1680
货期 现货(1-2个工作日)
25ul 50ul 100ul
No. :BS79475
Product Name :Phospho-FOXO1-S319 polyclonal antibody
Swiss-Prot :Q12778
Host :Rabbit
Reactivity :Human, Mouse, Rat
Applications :WB,IHC
Application_all :WB,1:500 - 1:2000|IHC,1:50 - 1:200
Background :This gene belongs to the forkhead family of transcription factors which are characterized by a distinct forkhead domain. The specific function of this gene has not yet been determined; however, it may play a role in myogenic growth and differentiation. Translocation of this gene with PAX3 has been associated with alveolar rhabdomyosarcoma. [provided by RefSeq, Jul 2008]
Product :1mg/ml in PBS with 0.02% sodium azide, 50% glycerol, pH7.2
Purification&Purity :The antibody was affinity-purified from rabbit antiserum by affinity-chromatography using epitope-specific immunogen and the purity is > 95% (by SDS-PAGE).
Storage&Stability :Store at 4°C short term. Aliquot and store at -20°C long term. Avoid freeze-thaw cycles.
Specificity :Phosphorylated
BiowMW :90kDa
Note :For research use only, not for use in diagnostic procedure.
Alternative Name :FKH1;FKHR;FOXO1A;FOXO1
Immunogen :A synthetic phosphorylated peptide around S319 of human FOXO1(NP_002006.2).
Conjugate :Unconjugated
Modification :Phosphorylated
Western blot analysis of extracts of HeLa cells, using Phospho-FOXO1-S319 antibody at 1:1000 dilution or FOXO1 antibody .HeLa cells were treated by 10% FBS at 37℃ for 30 minutes after serum-starvation overnight.
Secondary antibody: HRP Goat Anti-Rabbit IgG at 1:10000 dilution.
Lysates/proteins: 25ug per lane.
Blocking buffer: 3% BSA.
Detection: ECL Basic Kit .
Exposure time: 10s.
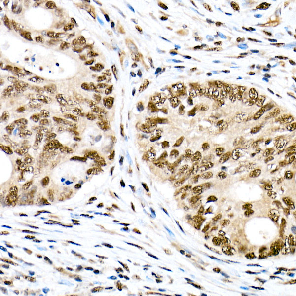
Immunohistochemistry of paraffin-embedded human colon carcinoma using Phospho-FOXO1-S319 Rabbit pAb at dilution of 1:50 .Perform high pressure antigen retrieval with 10 mM citrate buffer pH 6.0 before commencing with IHC staining protocol.
Immunohistochemistry of paraffin-embedded mouse liver using Phospho-FOXO1-S319 Rabbit pAb at dilution of 1:50 .Perform high pressure antigen retrieval with 10 mM citrate buffer pH 6.0 before commencing with IHC staining protocol.
Immunohistochemistry of paraffin-embedded rat liver using Phospho-FOXO1-S319 Rabbit pAb at dilution of 1:50 .Perform high pressure antigen retrieval with 10 mM citrate buffer pH 6.0 before commencing with IHC staining protocol.

关注我们

400-660-9091

电话:18013895086

地址:江苏生命科技创新园F6幢1层

订购:nanjing03@biogot.com

服务:biorase01@biogot.com

合作:lvyun@biogot.com

支持:may@biogot.com