中国 EN 400-660-9091

联系我们

电话:025-68037686

地址:江苏生命科技创新园F6幢1层

订购:nanjing03@biogot.com

服务:biorase01@biogot.com

合作:lvyun@biogot.com

支持:may@biogot.com

Phospho-FOXO1-T24/FOXO3A-T32/FOXO4-T28 polyclonal antibody

货号: BS79452
价格 1680
货期 现货(1-2个工作日)
25ul 50ul 100ul
No. :BS79452
Product Name :Phospho-FOXO1-T24/FOXO3A-T32/FOXO4-T28 polyclonal antibody
Swiss-Prot :Q12778/O43524
Host :Rabbit
Reactivity :Human, Mouse, Rat
Applications :WB, IHC
Application_all :WB,1:500 - 1:2000|IHC,1:50 - 1:200
Background :This gene belongs to the forkhead family of transcription factors which are characterized by a distinct forkhead domain. The specific function of this gene has not yet been determined; however, it may play a role in myogenic growth and differentiation. Translocation of this gene with PAX3 has been associated with alveolar rhabdomyosarcoma. [provided by RefSeq, Jul 2008]
Product :1mg/ml in PBS with 0.02% sodium azide, 50% glycerol, pH7.2
Purification&Purity :The antibody was affinity-purified from rabbit antiserum by affinity-chromatography using epitope-specific immunogen and the purity is > 95% (by SDS-PAGE).
Storage&Stability :Store at 4°C short term. Aliquot and store at -20°C long term. Avoid freeze-thaw cycles.
Specificity :Phosphorylated
BiowMW :65KDa/73KDa
Note :For research use only, not for use in diagnostic procedure.
Alternative Name :FoxO1/FoxO3a/FoxO4
Immunogen :A synthetic phosphorylated peptide around T24 of human FOXO1/FOXO3A/FOXO4FOXO1(NP_002006.2).
Conjugate :Unconjugated
Modification :Phosphorylated
Western blot analysis of extracts of various cell lines, using Phospho-FOXO1-T24/FOXO3A-T32/FOXO4-T28 antibody at 1:500 dilution.Jurkat cells were treated by Calyculin A at 37℃ for 30 minutes.
Secondary antibody: HRP Goat Anti-Rabbit IgG at 1:10000 dilution.
Lysates/proteins: 25ug per lane.
Blocking buffer: 3% nonfat dry milk in TBST.
Detection: ECL Basic Kit .
Exposure time: 30s.
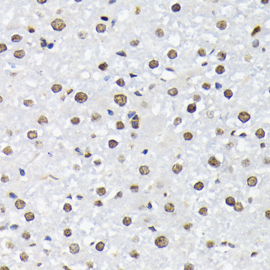
Immunohistochemistry of paraffin-embedded rat liver using Phospho-FOXO1-T24/FOXO3A-T32/FOXO4-T28 antibody at dilution of 1:200 .Perform microwave antigen retrieval with 10 mM Tris/EDTA buffer pH 9.0 before commencing with IHC staining protocol.
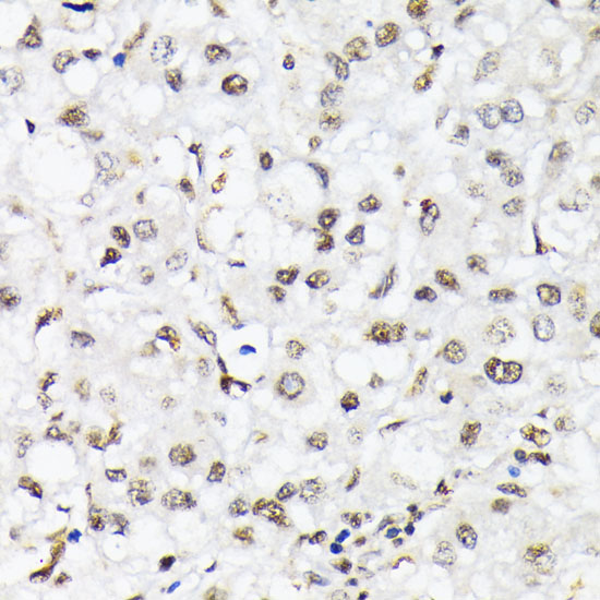
Immunohistochemistry of paraffin-embedded human liver cancer using Phospho-FOXO1-T24/FOXO3A-T32/FOXO4-T28 antibody at dilution of 1:200 .Perform microwave antigen retrieval with 10 mM Tris/EDTA buffer pH 9.0 before commencing with IHC staining protocol.
Immunohistochemistry of paraffin-embedded mouse kidney using Phospho-FOXO1-T24/FOXO3A-T32/FOXO4-T28 antibody at dilution of 1:200 .Perform microwave antigen retrieval with 10 mM Tris/EDTA buffer pH 9.0 before commencing with IHC staining protocol.

关注我们

400-660-9091

电话:18013895086

地址:江苏生命科技创新园F6幢1层

订购:nanjing03@biogot.com

服务:biorase01@biogot.com

合作:lvyun@biogot.com

支持:may@biogot.com