中国 EN 400-660-9091

联系我们

电话:025-68037686

地址:江苏生命科技创新园F6幢1层

订购:nanjing03@biogot.com

服务:biorase01@biogot.com

合作:lvyun@biogot.com

支持:may@biogot.com

Phospho-β-Catenin-S33/S37/T41 polyclonal antibody

货号: BS79390
价格 1680
货期 现货(1-2个工作日)
25ul 50ul 100ul
No. :BS79390
Product Name :Phospho-β-Catenin-S33/S37/T41 polyclonal antibody
Swiss-Prot :P35222
Host :Rabbit
Reactivity :Human, Mouse, Rat
Applications :IHC
Application_all :IHC,1:50 - 1:200
Background :The protein encoded by this gene is part of a complex of proteins that constitute adherens junctions (AJs). AJs are necessary for the creation and maintenance of epithelial cell layers by regulating cell growth and adhesion between cells. The encoded protein also anchors the actin cytoskeleton and may be responsible for transmitting the contact inhibition signal that causes cells to stop dividing once the epithelial sheet is complete. Finally, this protein binds to the product of the APC gene, which is mutated in adenomatous polyposis of the colon. Mutations in this gene are a cause of colorectal cancer (CRC), pilomatrixoma (PTR), medulloblastoma (MDB), and ovarian cancer. Alternative splicing results in multiple transcript variants.
Product :1mg/ml in PBS with 0.02% sodium azide, 50% glycerol, pH7.2
Purification&Purity :The antibody was affinity-purified from rabbit antiserum by affinity-chromatography using epitope-specific immunogen and the purity is > 95% (by SDS-PAGE).
Storage&Stability :Store at 4°C short term. Aliquot and store at -20°C long term. Avoid freeze-thaw cycles.
Specificity :Phosphorylated
BiowMW :Refer to figures
Note :For research use only, not for use in diagnostic procedure.
Alternative Name :CTNNB;MRD19;armadillo;beta Catenin;CTNNB1
Immunogen :A synthetic phosphorylated peptide around S33 & T41 of human beta Catenin(NP_001091679).
Conjugate :Unconjugated
Modification :Phosphorylated
Immunohistochemistry of paraffin-embedded human colon carcinoma using Phospho-β-Catenin-S33/S37/T41 antibody at dilution of 1:100 .Perform microwave antigen retrieval with 10 mM Tris/EDTA buffer pH 9.0 before commencing with IHC staining protocol.
Immunohistochemistry of paraffin-embedded rat skin using Phospho-β-Catenin-S33/S37/T41 antibody at dilution of 1:100 .Perform microwave antigen retrieval with 10 mM Tris/EDTA buffer pH 9.0 before commencing with IHC staining protocol.
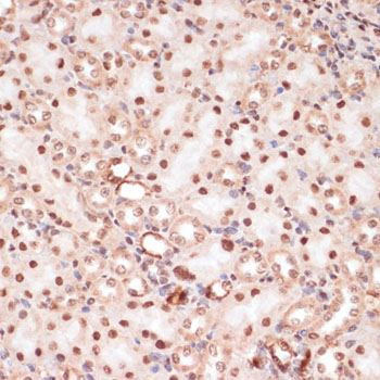
Immunohistochemistry of paraffin-embedded mouse kidney using Phospho-β-Catenin-S33/S37/T41 antibody at dilution of 1:100 .Perform microwave antigen retrieval with 10 mM Tris/EDTA buffer pH 9.0 before commencing with IHC staining protocol.

关注我们

400-660-9091

电话:18013895086

地址:江苏生命科技创新园F6幢1层

订购:nanjing03@biogot.com

服务:biorase01@biogot.com

合作:lvyun@biogot.com

支持:may@biogot.com