Immunohistochemistry of paraffin-embedded human breast carcinoma tissue, using Phospho-Bcl-2-T56 antibody .Perform microwave antigen retrieval with 10 mM Tris/EDTA buffer pH 9.0 before commencing with IHC staining protocol.
Immunohistochemistry of paraffin-embedded rat testis using Phospho-Bcl-2-T56 antibody at dilution of 1:200 .Perform microwave antigen retrieval with 10 mM PBS buffer pH 7.2 before commencing with IHC staining protocol.
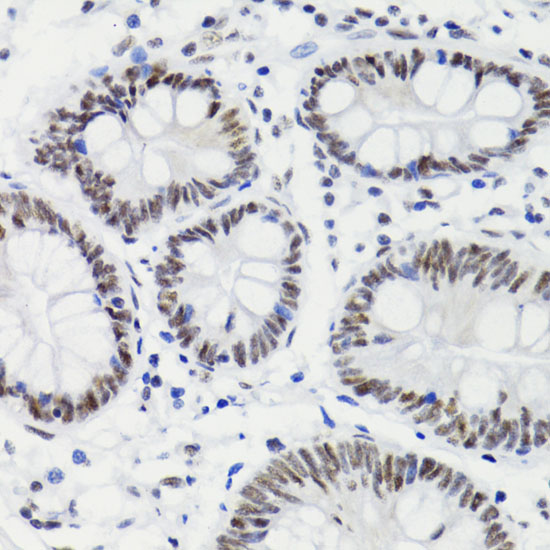
Immunohistochemistry of paraffin-embedded human stomach using Phospho-Bcl-2-T56 antibody at dilution of 1:200 .Perform microwave antigen retrieval with 10 mM PBS buffer pH 7.2 before commencing with IHC staining protocol.
Immunohistochemistry of paraffin-embedded mouse brain using Phospho-Bcl-2-T56 antibody at dilution of 1:200 .Perform microwave antigen retrieval with 10 mM PBS buffer pH 7.2 before commencing with IHC staining protocol.