中国 EN 400-660-9091

联系我们

电话:025-68037686

地址:江苏生命科技创新园F6幢1层

订购:nanjing03@biogot.com

服务:biorase01@biogot.com

合作:lvyun@biogot.com

支持:may@biogot.com

Phospho-ESRα-S118 polyclonal antibody

货号: BS79351
价格 1680
货期 现货(1-2个工作日)
25ul 50ul 100ul
No. :BS79351
Product Name :Phospho-ESRα-S118 polyclonal antibody
Swiss-Prot :P03372
Host :Rabbit
Reactivity :Human
Applications :WB, IHC, IF/ICC
Application_all :WB,1:500 - 1:2000|IHC,1:50 - 1:100|IF/ICC,1:100 - 1:200
Background :This gene encodes an estrogen receptor, a ligand-activated transcription factor composed of several domains important for hormone binding, DNA binding, and activation of transcription. The protein localizes to the nucleus where it may form a homodimer or a heterodimer with estrogen receptor 2. Estrogen and its receptors are essential for sexual development and reproductive function, but also play a role in other tissues such as bone. Estrogen receptors are also involved in pathological processes including breast cancer, endometrial cancer, and osteoporosis. Alternative promoter usage and alternative splicing result in dozens of transcript variants, but the full-length nature of many of these variants has not been determined.
Product :1mg/ml in PBS with 0.02% sodium azide, 50% glycerol, pH7.2
Purification&Purity :The antibody was affinity-purified from rabbit antiserum by affinity-chromatography using epitope-specific immunogen and the purity is > 95% (by SDS-PAGE).
Storage&Stability :Store at 4°C short term. Aliquot and store at -20°C long term. Avoid freeze-thaw cycles.
Specificity :Phosphorylated
BiowMW :66kDa
Note :For research use only, not for use in diagnostic procedure.
Alternative Name :ESR1;ER;ESR;ESRA;ESTRR;Era;NR3A1;ER alpha
Immunogen :A synthetic phosphorylated peptide around S118 of human Estrogen Receptor alpha (ESR1)(NP_000116.2).
Conjugate :Unconjugated
Modification :Phosphorylated
Western blot analysis of extracts of MCF7 cells, using Phospho-ESRα-S118 pAb at 1:1000 dilution.MCF7 cells were treated by Calyculin A at 37℃ for 30 minutes after serum-starvation overnight.
Secondary antibody: HRP Goat Anti-Rabbit IgG at 1:10000 dilution.
Lysates/proteins: 25ug per lane.
Blocking buffer: 3% BSA.
Detection: ECL Basic Kit .
Exposure time: 1s.
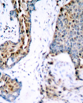
Immunohistochemistry of paraffin-embedded human breast carcinoma using Phospho-ESRα-S118 antibody .Perform microwave antigen retrieval with 10 mM Tris/EDTA buffer pH 9.0 before commencing with IHC staining protocol.
Immunofluorescence analysis of methanol-fixed MCF-7 cells using Phospho-ESRα-S118 antibody .

关注我们

400-660-9091

电话:18013895086

地址:江苏生命科技创新园F6幢1层

订购:nanjing03@biogot.com

服务:biorase01@biogot.com

合作:lvyun@biogot.com

支持:may@biogot.com