电话:025-68037686
地址:江苏生命科技创新园F6幢1层
订购:nanjing03@biogot.com
服务:biorase01@biogot.com
合作:lvyun@biogot.com
支持:may@biogot.com
电话:025-68037686
地址:江苏生命科技创新园F6幢1层
订购:nanjing03@biogot.com
服务:biorase01@biogot.com
合作:lvyun@biogot.com
支持:may@biogot.com

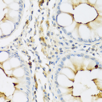
Cat No.:BS72708
Swiss-Prot:Q9Y6Y8
Host:Rabbit
Reactivity:Human, Mouse, Rat
Applications:WB, IHC, IF/ICC
Cat No.:BS7271
Swiss-Prot:Q13114
Host:Rabbit
Reactivity:Human,Mouse,Rat
Applications:WB ELISA IHC IF

电话:18013895086
地址:江苏生命科技创新园F6幢1层