电话:025-68037686
地址:江苏生命科技创新园F6幢1层
订购:nanjing03@biogot.com
服务:biorase01@biogot.com
合作:lvyun@biogot.com
支持:may@biogot.com
电话:025-68037686
地址:江苏生命科技创新园F6幢1层
订购:nanjing03@biogot.com
服务:biorase01@biogot.com
合作:lvyun@biogot.com
支持:may@biogot.com

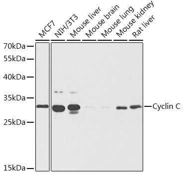
Cat No.:BS6771
Swiss-Prot:Q13616
Host:Rabbit
Reactivity:Human, Mouse, Rat
Applications:WB, IHC, IF/ICC
Cat No.:BS67716
Swiss-Prot:Q9S7H1; Q9SA56
Host:Rabbit
Reactivity:Arabidopsis thaliana
Applications:WB
Cat No.:BS67718
Swiss-Prot:P23321; Q9S841
Host:Rabbit
Reactivity:Arabidopsis thaliana
Applications:WB
Cat No.:BS67724
Swiss-Prot:Q9NZQ7
Host:Rabbit
Reactivity:Human, Mouse, Rat
Applications:WB, IHC, IF/ICC

电话:18013895086
地址:江苏生命科技创新园F6幢1层