中国 EN 400-660-9091

联系我们

电话:025-68037686

地址:江苏生命科技创新园F6幢1层

订购:nanjing03@biogot.com

服务:biorase01@biogot.com

合作:lvyun@biogot.com

支持:may@biogot.com

HP1 gamma (6D8) monoclonal antibody

货号: MB3304
价格 1350
货期 现货(1-2个工作日)
25ul 50ul 100ul 200ul
No. :MB3304
Product Name :HP1 gamma (6D8) monoclonal antibody
Swiss-Prot :Q13185
Host :Mouse
Reactivity :Human,Rat,Mouse
Applications :WB,IHC-P
Application_all :WB: 1/500-1/1000 IHC: 1/50-1/100
Background :Recognizes and binds histone H3 tails methylated at 'Lys-9', leading to epigenetic repression. May contribute to the association of the heterochromatin with the inner nuclear membrane through its interaction with lamin B receptor (LBR). Involved in the formation of functional kinetochore through interaction with MIS12 complex proteins.
Product :Liquid in PBS containing 50% glycerol, 0.5% BSA and 0.02% sodium azide, pH 7.3.
Purification&Purity :Affinity Purified
Storage&Stability :Store at 4°C short term. Aliquot and store at -20°C long term. Avoid freeze-thaw cycles.
Specificity :IgG1
BiowMW :Calculated MW: 21 kDa; Observed MW: 24 kDa
Note :For research use only, not for use in diagnostic procedure.
Alternative Name :CBX3; Chromobox protein homolog 3; HECH; Heterochromatin protein 1 homolog gamma; HP1 gamma; Modifier 2 protein
Immunogen :Purified recombinant protein expressed in E.coli.
Conjugate :Unconjugated
Modification :Unmodified
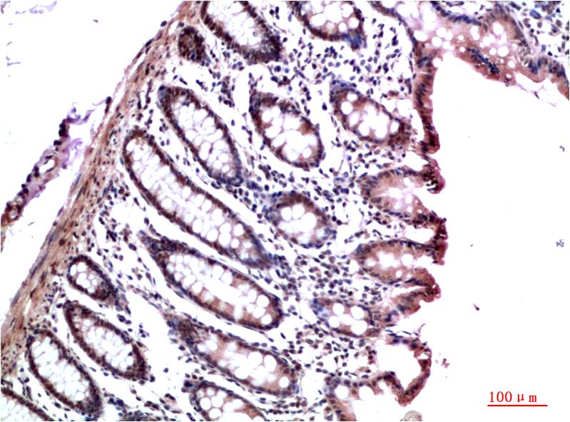
Immunohistochemistry analysis of paraffin-embedded Human Colon Carcinoma Tissue using HP1 gamma antibody.High-pressure and temperature Sodium Citrate pH 6.0 was used for antigen retrieval.
Immunohistochemical analysis of paraffin-embedded Human tonsils using HP1 gamma antibody.High-pressure and temperature Sodium Citrate pH 6.0 was used for antigen retrieval.

关注我们

400-660-9091

电话:025-68037686

地址:江苏生命科技创新园F6幢1层

订购:nanjing03@biogot.com

服务:biorase01@biogot.com

合作:lvyun@biogot.com

支持:may@biogot.com