中国 EN 400-660-9091

联系我们

电话:025-68037686

地址:江苏生命科技创新园F6幢1层

订购:nanjing03@biogot.com

服务:biorase01@biogot.com

合作:lvyun@biogot.com

支持:may@biogot.com

Phospho-AKT (Ser473) (8A9) monoclonal antibody

货号: MB3262
价格 1350
货期 现货(1-2个工作日)
25ul 50ul 100ul 200ul
No. :MB3262
Product Name :Phospho-AKT (Ser473) (8A9) monoclonal antibody
Swiss-Prot :P31749
Host :Mouse
Reactivity :Human
Applications :WB,IHC-P
Application_all :WB: 1/500-1/1000 IHC: 1/50-1/100
Background :Akt, also referred to as PKB or Rac, plays a critical role in controlling survival and apoptosis. This protein kinase is activated by insulin and various growth and survival factors to function in a wortmannin-sensitive pathway involving PI3 kinase. Akt is activated by phospholipid binding and activation loop phosphorylation at Thr308 by PDK1 and by phosphorylation within the carboxy terminus at Ser473.
Product :Liquid in PBS containing 50% glycerol, 0.5% BSA and 0.02% sodium azide, pH 7.3.
Purification&Purity :Affinity Purified
Storage&Stability :Store at 4°C short term. Aliquot and store at -20°C long term. Avoid freeze-thaw cycles.
Specificity :IgG1
BiowMW :Calculated MW: 56 kDa; Observed MW: 60 kDa
Note :For research use only, not for use in diagnostic procedure.
Alternative Name :AKT1; PKB; RAC; RAC-alpha serine/threonine-protein kinase; Protein kinase B; PKB; Protein kinase B alpha; PKB alpha; Proto-oncogene c-Akt; RAC-PK-alpha
Immunogen :Synthetic peptide conjugated to KLH.
Conjugate :Unconjugated
Modification :Phosphorylated
Western blot analysis of Phospho-AKT in PC-3 lysates using Phospho-AKT antibody.
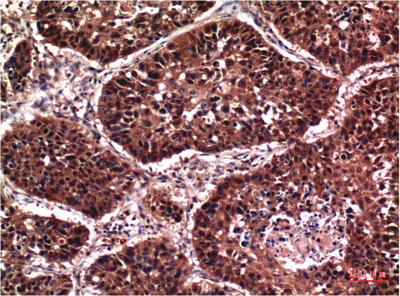
Immunohistochemistry analysis of paraffin-embedded Human Lung Carcinoma Tissue using Phospho-Akt Ser473 antibody.High-pressure and temperature Sodium Citrate pH 6.0 was used for antigen retrieval.

关注我们

400-660-9091

电话:025-68037686

地址:江苏生命科技创新园F6幢1层

订购:nanjing03@biogot.com

服务:biorase01@biogot.com

合作:lvyun@biogot.com

支持:may@biogot.com