中国 EN 400-660-9091

联系我们

电话:025-68037686

地址:江苏生命科技创新园F6幢1层

订购:nanjing03@biogot.com

服务:biorase01@biogot.com

合作:lvyun@biogot.com

支持:may@biogot.com

Survivin (8B9) monoclonal antibody

货号: MB3240
价格 1350
货期 现货(1-2个工作日)
25ul 50ul 100ul 200ul
No. :MB3240
Product Name :Survivin (8B9) monoclonal antibody
Swiss-Prot :O15392
Host :Mouse
Reactivity :Human,Rat
Applications :WB,IHC-P
Application_all :WB: 1/500-1/1000 IHC: 1/50-1/100
Background :Survivin is an apoptosis inhibitor that is expressed during the G2/M phase of the cell cycle. Associates with the microtubules of the mitotic spindle and any disruption results in the loss of apoptosis activity. May play a role in neoplasia.
Product :Liquid in PBS containing 50% glycerol, 0.5% BSA and 0.02% sodium azide, pH 7.3.
Purification&Purity :Affinity Purified
Storage&Stability :Store at 4°C short term. Aliquot and store at -20°C long term. Avoid freeze-thaw cycles.
Specificity :IgG1
BiowMW :Calculated MW: 16 kDa; Observed MW: 16 kDa
Note :For research use only, not for use in diagnostic procedure.
Alternative Name :BIRC5; API4; IAP4; Baculoviral IAP repeat-containing protein 5; Apoptosis inhibitor 4; Apoptosis inhibitor survivin
Immunogen :Recombinant Protein of Survivin
Conjugate :Unconjugated
Modification :Unmodified
Western blot analysis of Survivin in COS7, Jurkat and Hela lysates using Survivin antibody.
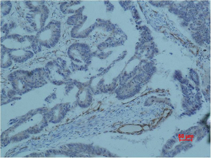
Immunohistochemistry analysis of paraffin-embedded Human colon caricnoma using Survivin antibody.High-pressure and temperature Sodium Citrate pH 6.0 was used for antigen retrieval.

关注我们

400-660-9091

电话:025-68037686

地址:江苏生命科技创新园F6幢1层

订购:nanjing03@biogot.com

服务:biorase01@biogot.com

合作:lvyun@biogot.com

支持:may@biogot.com