中国 EN 400-660-9091

联系我们

电话:025-68037686

地址:江苏生命科技创新园F6幢1层

订购:nanjing03@biogot.com

服务:biorase01@biogot.com

合作:lvyun@biogot.com

支持:may@biogot.com

p53 (2D10) monoclonal antibody

货号: MB3227
价格 1350
货期 现货(1-2个工作日)
25ul 50ul 100ul 200ul
No. :MB3227
Product Name :p53 (2D10) monoclonal antibody
Swiss-Prot :P04637
Host :Mouse
Reactivity :Human
Applications :WB,IHC-F,IHC-P,ICC/IF
Application_all :WB: 1/500-1/1000 IHC: 1/50-1/100 IF: 1/50-1/200
Background :Tumor protein p53, a nuclear protein, plays an essential role in the regulation of cell cycle, specifically in the transition from G0 to G1. It is found in very low levels in normal cells, however, in a variety of transformed cell lines, it is expressed in high amounts, and believed to contribute to transformation and malignancy. p53 is a DNA-binding protein containing DNA-binding, oligomerization and transcription activation domains.
Product :Liquid in PBS containing 50% glycerol, 0.5% BSA and 0.02% sodium azide, pH 7.3.
Purification&Purity :Affinity Purified
Storage&Stability :Store at 4°C short term. Aliquot and store at -20°C long term. Avoid freeze-thaw cycles.
Specificity :IgG1
BiowMW :Calculated MW: 44 kDa; Observed MW: 53 kDa
Note :For research use only, not for use in diagnostic procedure.
Alternative Name :TP53; P53; Cellular tumor antigen p53; Antigen NY-CO-13; Phosphoprotein p53; Tumor suppressor p53
Immunogen :Synthetic Peptide of p53
Conjugate :Unconjugated
Modification :Unmodified
Immunofluorescence analysis of p53 in Hela using p53 antibody and DAPI .
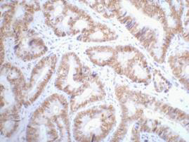
Immunohistochemistry analysis of paraffin-embedded Human colon cancer tissue using p53 antibody.High-pressure and temperature Sodium Citrate pH 6.0 was used for antigen retrieval.
Western blot analysis of p53 in T47D and COS7 lysates using p53 antibody

关注我们

400-660-9091

电话:025-68037686

地址:江苏生命科技创新园F6幢1层

订购:nanjing03@biogot.com

服务:biorase01@biogot.com

合作:lvyun@biogot.com

支持:may@biogot.com