中国 EN 400-660-9091

联系我们

电话:025-68037686

地址:江苏生命科技创新园F6幢1层

订购:nanjing03@biogot.com

服务:biorase01@biogot.com

合作:lvyun@biogot.com

支持:may@biogot.com

Progesterone Receptor (8H3) monoclonal antibody

货号: MB3210
价格 1350
货期 现货(1-2个工作日)
25ul 50ul 100ul 200ul
No. :MB3210
Product Name :Progesterone Receptor (8H3) monoclonal antibody
Swiss-Prot :P06401
Host :Mouse
Reactivity :Human,Mouse,Rat
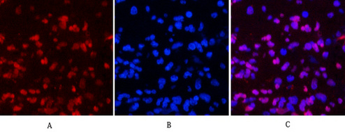
Applications :IHC-P,IHC-F,ICC/IF
Application_all :IHC: 1/50-1/100 IF: 1/50-1/200
Background :Progesterone plays a central role in the reproductive events associated with the establishment and maintenance of pregnancy. Progesterone receptor, a member of the steroid receptor superfamily, mediates the physiologic effects of progesterone.
Product :Liquid in PBS containing 50% glycerol, 0.5% BSA and 0.02% sodium azide, pH 7.3.
Purification&Purity :Affinity Purified
Storage&Stability :Store at 4°C short term. Aliquot and store at -20°C long term. Avoid freeze-thaw cycles.
Specificity :IgG1
BiowMW :-
Note :For research use only, not for use in diagnostic procedure.
Alternative Name :PGR; NR3C3; Progesterone receptor; PR; Nuclear receptor subfamily 3 group C member 3
Immunogen :Synthetic Peptide of PR
Conjugate :Unconjugated
Modification :Unmodified
Immunohistochemistry analysis of paraffin-embedded Human uterus tissue using Progesterone Receptor antibody.High-pressure and temperature Sodium Citrate pH 6.0 was used for antigen retrieval.Negative control was used by secondary antibody only.
Immunohistochemical analysis of paraffin-embedded Human tonsils using Progesterone Receptor antibody.High-pressure and temperature Sodium Citrate pH 6.0 was used for antigen retrieval.Negative control was used by secondary antibody only.

关注我们

400-660-9091

电话:025-68037686

地址:江苏生命科技创新园F6幢1层

订购:nanjing03@biogot.com

服务:biorase01@biogot.com

合作:lvyun@biogot.com

支持:may@biogot.com