中国 EN 400-660-9091

联系我们

电话:025-68037686

地址:江苏生命科技创新园F6幢1层

订购:nanjing03@biogot.com

服务:biorase01@biogot.com

合作:lvyun@biogot.com

支持:may@biogot.com

alpha Skeletal Muscle Actin (2B10) monoclonal antibody

货号: MB3207
价格 1350
货期 现货(1-2个工作日)
25ul 50ul 100ul 200ul
No. :MB3207
Product Name :alpha Skeletal Muscle Actin (2B10) monoclonal antibody
Swiss-Prot :P68133
Host :Mouse
Reactivity :Human,Mouse,Rat
Applications :WB,IHC-F,IHC-P,ICC/IF,IP
Application_all :WB: 1/500-1/1000 IHC: 1/50-1/100 IF: 1/50-1/200 IP: 1/20
Background :Actins are highly conserved proteins that are involved in various types of cell motility and are ubiquitously expressed in all eukaryotic cells.
Product :Liquid in PBS containing 50% glycerol, 0.5% BSA and 0.02% sodium azide, pH 7.3.
Purification&Purity :Affinity Purified
Storage&Stability :Store at 4°C short term. Aliquot and store at -20°C long term. Avoid freeze-thaw cycles.
Specificity :IgG
BiowMW :Calculated MW: 42 kDa; Observed MW: 42 kDa
Note :For research use only, not for use in diagnostic procedure.
Alternative Name :ACTA1; ACTA; Actin; alpha skeletal muscle; Alpha-actin-1
Immunogen :Synthetic Peptide of α skeletal muscle actin
Conjugate :Unconjugated
Modification :Unmodified
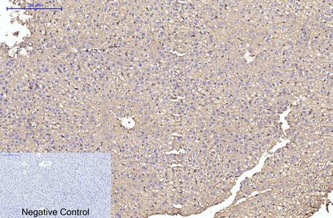
Immunohistochemistry analysis of paraffin-embedded rat liver tissue using alpha Skeletal Muscle Actin antibody.High-pressure and temperature Sodium Citrate pH 6.0 was used for antigen retrieval.Negative control was used by secondary antibody only.
Western blot analysis of alpha Skeletal Muscle Actin in T47D, 3T3, COS7, C6 and Hela lysates using alpha Skeletal Muscle Actin antibody

关注我们

400-660-9091

电话:025-68037686

地址:江苏生命科技创新园F6幢1层

订购:nanjing03@biogot.com

服务:biorase01@biogot.com

合作:lvyun@biogot.com

支持:may@biogot.com