中国 EN 400-660-9091

联系我们

电话:025-68037686

地址:江苏生命科技创新园F6幢1层

订购:nanjing03@biogot.com

服务:biorase01@biogot.com

合作:lvyun@biogot.com

支持:may@biogot.com

PARP1 (10C2) monoclonal antibody

货号: MB3206
价格 1350
货期 现货(1-2个工作日)
25ul 50ul 100ul 200ul
No. :MB3206
Product Name :PARP1 (10C2) monoclonal antibody
Swiss-Prot :P09874
Host :Mouse
Reactivity :Human,Mouse,Rat
Applications :WB,IHC-P
Application_all :WB: 1/500-1/1000 IHC: 1/50-1/100
Background :Involved in the base excision repair (BER) pathway, by catalyzing the poly(ADP-ribosyl)ation of a limited number of acceptor proteins involved in chromatin architecture and in DNA metabolism. This modification follows DNA damages and appears as an obligatory step in a detection/signaling pathway leading to the reparation of DNA strand breaks.
Product :Liquid in PBS containing 50% glycerol, 0.5% BSA and 0.02% sodium azide, pH 7.3.
Purification&Purity :Affinity Purified
Storage&Stability :Store at 4°C short term. Aliquot and store at -20°C long term. Avoid freeze-thaw cycles.
Specificity :IgG1
BiowMW :Calculated MW: 113 kDa; Observed MW: 116 kDa
Note :For research use only, not for use in diagnostic procedure.
Alternative Name :PARP1; ADPRT; PPOL; Poly [ADP-ribose] polymerase 1; PARP-1; ADP-ribosyltransferase diphtheria toxin-like 1; ARTD1; NAD(+) ADP-ribosyltransferase 1; ADPRT 1; Poly[ADP-ribose] synthase 1
Immunogen :Synthetic Peptide of Cleaved PARP
Conjugate :Unconjugated
Modification :Unmodified
Western blot analysis of PARP1 in Hela, MCF-7 and Jurkat lysates using PARP antibody.
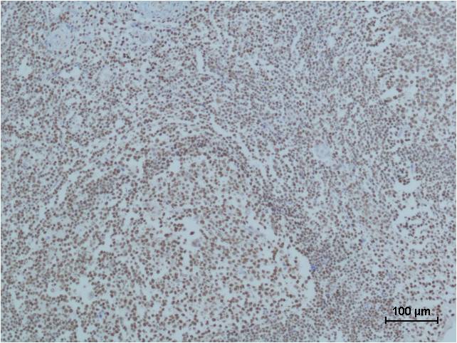
Immunohistochemistry analysis of paraffin-embedded Human Tonsil Tissue using Cleaved PARP antibody.High-pressure and temperature Sodium Citrate pH 6.0 was used for antigen retrieval.

关注我们

400-660-9091

电话:025-68037686

地址:江苏生命科技创新园F6幢1层

订购:nanjing03@biogot.com

服务:biorase01@biogot.com

合作:lvyun@biogot.com

支持:may@biogot.com