中国 EN 400-660-9091

联系我们

电话:025-68037686

地址:江苏生命科技创新园F6幢1层

订购:nanjing03@biogot.com

服务:biorase01@biogot.com

合作:lvyun@biogot.com

支持:may@biogot.com

EFHD1 (5C10) monoclonal antibody

货号: MB3187
价格 1350
货期 现货(1-2个工作日)
25ul 50ul 100ul 200ul
No. :MB3187
Product Name :EFHD1 (5C10) monoclonal antibody
Swiss-Prot :Q9BUP0
Host :Mouse
Reactivity :Human,Mouse,Rat
Applications :WB,IHC-P,ICC/IF
Application_all :WB: 1/500-1/1000 IHC: 1/50-1/100 IF: 1/50-1/200
Background :Acts as a calcium sensor for mitochondrial flash (mitoflash) activation, an event characterized by stochastic bursts of superoxide production (PubMed:26975899). May play a role in neuronal differentiation .
Product :Liquid in PBS containing 50% glycerol, 0.5% BSA and 0.02% sodium azide, pH 7.3.
Purification&Purity :Affinity Purified
Storage&Stability :Store at 4°C short term. Aliquot and store at -20°C long term. Avoid freeze-thaw cycles.
Specificity :IgG1
BiowMW :Calculated MW: 27 kDa; Observed MW: 27 kDa
Note :For research use only, not for use in diagnostic procedure.
Alternative Name :EF-hand domain-containing protein D1; Mitocalcin; MGC103094; Swiprosin 2
Immunogen :Synthetic Peptide of EFHD1
Conjugate :Unconjugated
Modification :Unmodified
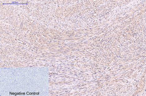
Immunohistochemistry analysis of paraffin-embedded Human uterus tissue using EFHD1 antibody.High-pressure and temperature Sodium Citrate pH 6.0 was used for antigen retrieval.Negative control was used by secondary antibody only.
Immunohistochemistry analysis of paraffin-embedded Human tonsils using EFHD1 antibody.High-pressure and temperature Sodium Citrate pH 6.0 was used for antigen retrieval.Negative control was used by secondary antibody only.
Immunohistochemistry analysis of paraffin-embedded mouse testis tissue using EFHD1 antibody. High-pressure and temperature Sodium Citrate pH 6.0 was used for antigen retrieval. Negative control was used by secondary antibody only.

关注我们

400-660-9091

电话:025-68037686

地址:江苏生命科技创新园F6幢1层

订购:nanjing03@biogot.com

服务:biorase01@biogot.com

合作:lvyun@biogot.com

支持:may@biogot.com