中国 EN 400-660-9091

联系我们

电话:025-68037686

地址:江苏生命科技创新园F6幢1层

订购:nanjing03@biogot.com

服务:biorase01@biogot.com

合作:lvyun@biogot.com

支持:may@biogot.com

alpha Lactalbumin (10B3) monoclonal antibody

货号: MB3186
价格 1350
货期 现货(1-2个工作日)
25ul 50ul 100ul 200ul
No. :MB3186
Product Name :alpha Lactalbumin (10B3) monoclonal antibody
Swiss-Prot :P00709
Host :Mouse
Reactivity :Human
Applications :WB,IHC-P,ICC/IF
Application_all :WB: 1/500-1/1000 IHC: 1/50-1/100 IF: 1/50-1/200
Background :Regulatory subunit of lactose synthase, changes the substrate specificity of galactosyltransferase in the mammary gland making glucose a good acceptor substrate for this enzyme. This enables LS to synthesize lactose, the major carbohydrate component of milk. In other tissues, galactosyltransferase transfers galactose onto the N-acetylglucosamine of the oligosaccharide chains in glycoproteins.
Product :Liquid in PBS containing 50% glycerol, 0.5% BSA and 0.02% sodium azide, pH 7.3.
Purification&Purity :Affinity Purified
Storage&Stability :Store at 4°C short term. Aliquot and store at -20°C long term. Avoid freeze-thaw cycles.
Specificity :IgG1
BiowMW :Calculated MW: 16 kDa; Observed MW: 16 kDa
Note :For research use only, not for use in diagnostic procedure.
Alternative Name :Lactose synthase B protein; Alpha-lactalbumin; Lactalbumin alpha; MGC138521
Immunogen :Synthetic Peptide of alpha Lactalbumin
Conjugate :Unconjugated
Modification :Unmodified
Immunohistochemistry analysis of paraffin-embedded Human liver tissue using alpha Lactalbumin antibody.High-pressure and temperature Sodium Citrate pH 6.0 was used for antigen retrieval.Negative control was used by secondary antibody only.
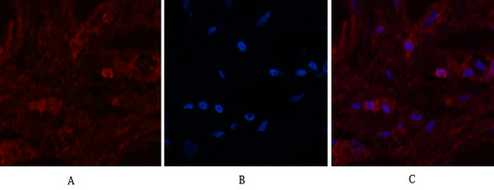
Immunofluorescence analysis of alpha Lactalbumin in Human breast tissue using alpha Lactalbumin antibody,and DAPI .
Western blot analysis of alpha Lactalbumin in Human Milk, Milk, lysates using alpha Lactalbumin antibody

关注我们

400-660-9091

电话:025-68037686

地址:江苏生命科技创新园F6幢1层

订购:nanjing03@biogot.com

服务:biorase01@biogot.com

合作:lvyun@biogot.com

支持:may@biogot.com