中国 EN 400-660-9091

联系我们

电话:025-68037686

地址:江苏生命科技创新园F6幢1层

订购:nanjing03@biogot.com

服务:biorase01@biogot.com

合作:lvyun@biogot.com

支持:may@biogot.com

Cytokeratin 17 (8C6) monoclonal antibody

货号: MB3185
价格 1350
货期 现货(1-2个工作日)
25ul 50ul 100ul 200ul
No. :MB3185
Product Name :Cytokeratin 17 (8C6) monoclonal antibody
Swiss-Prot :Q04695
Host :Mouse
Reactivity :Human
Applications :WB,IHC-P,ICC/IF,IP
Application_all :WB: 1/500-1/1000 IHC: 1/50-1/100 IF: 1/50-1/200 IP: 1/20
Background :Required for the correct growth of hair follicles, in particular for the persistence of the anagen (growth) state (By similarity). Modulates the function of TNF-alpha in the specific context of hair cycling. Regulates protein synthesis and epithelial cell growth through binding to the adapter protein SFN and by stimulating Akt/mTOR pathway (By similarity). Involved in tissue repair.
Product :Liquid in PBS containing 50% glycerol, 0.5% BSA and 0.02% sodium azide, pH 7.3.
Purification&Purity :Affinity Purified
Storage&Stability :Store at 4°C short term. Aliquot and store at -20°C long term. Avoid freeze-thaw cycles.
Specificity :IgG1
BiowMW :Calculated MW: 48 kDa; Observed MW: 48 kDa
Note :For research use only, not for use in diagnostic procedure.
Alternative Name :Keratin; type I cytoskeletal 17; Cytokeratin-17; CK-17; Keratin-17; K17
Immunogen :Synthetic Peptide of CK17
Conjugate :Unconjugated
Modification :Unmodified
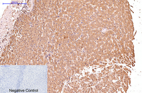
Immunohistochemistry analysis of paraffin-embedded Human liver tissue using Cytokeratin 17 antibody.High-pressure and temperature Sodium Citrate pH 6.0 was used for antigen retrieval.Negative control was used by secondary antibody only.
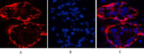
Immunofluorescence analysis of Cytokeratin 17 in Human breast tissue using CK17 antibody,and DAPI .
Western blot analysis of Cytokeratin 17 in Hela, MCF-7, 293T lysates using Cytokeratin 17 antibody
Immunoprecipitation analysis of Cytokeratin 17 in Hela lysates using Cytokeratin 17 antibody

关注我们

400-660-9091

电话:025-68037686

地址:江苏生命科技创新园F6幢1层

订购:nanjing03@biogot.com

服务:biorase01@biogot.com

合作:lvyun@biogot.com

支持:may@biogot.com