中国 EN 400-660-9091

联系我们

电话:025-68037686

地址:江苏生命科技创新园F6幢1层

订购:nanjing03@biogot.com

服务:biorase01@biogot.com

合作:lvyun@biogot.com

支持:may@biogot.com

Cytokeratin 6 (1A5) monoclonal antibody

货号: MB3184
价格 1350
货期 现货(1-2个工作日)
25ul 50ul 100ul 200ul
No. :MB3184
Product Name :Cytokeratin 6 (1A5) monoclonal antibody
Swiss-Prot :P02538/P04259/P48668
Host :Mouse
Reactivity :Human
Applications :WB,IHC-P,ICC/IF
Application_all :WB: 1/500-1/1000 IHC: 1/50-1/100 IF: 1/50-1/200
Background :There are at least six isoforms of human type II keratin-6 (K6). There are two types of cytoskeletal and microfibrillar keratin, I (acidic) and II (neutral to basic) (40-55 and 56-70 kDa, respectively).
Product :Liquid in PBS containing 50% glycerol, 0.5% BSA and 0.02% sodium azide, pH 7.3.
Purification&Purity :Affinity Purified
Storage&Stability :Store at 4°C short term. Aliquot and store at -20°C long term. Avoid freeze-thaw cycles.
Specificity :IgG1
BiowMW :Calculated MW: 60 kDa; Observed MW: 56-60 kDa
Note :For research use only, not for use in diagnostic procedure.
Alternative Name :CK 6A; CK 6B; CK 6C; CK 6D; CK 6E; CK-6C; CK-6E; K6a keratin; K6b keratin; K6C; K6c keratin; K6d keratin; K6e keratin; Keratin; KRT6A; KRT6B; KRT6C; KRT6D; KRT6E
Immunogen :Synthetic Peptide of Cytokeratin 6
Conjugate :Unconjugated
Modification :Unmodified
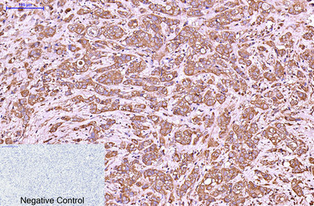
Immunohistochemistry analysis of paraffin-embedded Human breastcancer tissue using Cytokeratin 6 antibody.High-pressure and temperature Sodium Citrate pH 6.0 was used for antigen retrieval.Negative control was used by secondary antibody only.
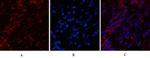
Immunofluorescence analysis of Cytokeratin 6 in Human breastcancer tissue using Cytokeratin 6 antibody,and DAPI .
Western blot analysis of Cytokeratin 6 in Hela, C6, 3T3, K562, HepG2 lysates using Cytokeratin 6 antibody

关注我们

400-660-9091

电话:025-68037686

地址:江苏生命科技创新园F6幢1层

订购:nanjing03@biogot.com

服务:biorase01@biogot.com

合作:lvyun@biogot.com

支持:may@biogot.com