中国 EN 400-660-9091

联系我们

电话:025-68037686

地址:江苏生命科技创新园F6幢1层

订购:nanjing03@biogot.com

服务:biorase01@biogot.com

合作:lvyun@biogot.com

支持:may@biogot.com

CD45 (8C1) monoclonal antibody

货号: MB3167
价格 1350
货期 现货(1-2个工作日)
25ul 50ul 100ul 200ul
No. :MB3167
Product Name :CD45 (8C1) monoclonal antibody
Swiss-Prot :P06800
Host :Mouse
Reactivity :Human
Applications :WB,IHC-F,IHC-P,ICC/IF
Application_all :WB: 1/500-1/1000 IHC: 1/50-1/100 IF: 1/50-1/200
Background :Protein tyrosine-protein phosphatase required for T-cell activation through the antigen receptor. Acts as a positive regulator of T-cell coactivation upon binding to DPP4. The first PTPase domain has enzymatic activity, while the second one seems to affect the substrate specificity of the first one. Upon T-cell activation, recruits and dephosphorylates SKAP1 and FYN . Dephosphorylates LYN, and thereby modulates LYN activity.
Product :Liquid in PBS containing 50% glycerol, 0.5% BSA and 0.02% sodium azide, pH 7.3.
Purification&Purity :Affinity Purified
Storage&Stability :Store at 4°C short term. Aliquot and store at -20°C long term. Avoid freeze-thaw cycles.
Specificity :IgG1
BiowMW :Calculated MW: 145 kDa; Observed MW: 145 kDa
Note :For research use only, not for use in diagnostic procedure.
Alternative Name :GP180; L CA; CD45 antigen
Immunogen :Synthetic Peptide of CD45
Conjugate :Unconjugated
Modification :Unmodified
Immunofluorescence analysis of CD45 in Human livercancer tissue using CD45 antibody,and DAPI .
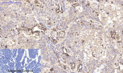
Immunohistochemical analysis of paraffin-embedded Human tonsils using CD45 antibody.High-pressure and temperature Sodium Citrate pH 6.0 was used for antigen retrieval.Negative control was used by secondary antibody only.
Western blot analysis of CD45 in Jurkat lysates using CD45 antibody.

关注我们

400-660-9091

电话:025-68037686

地址:江苏生命科技创新园F6幢1层

订购:nanjing03@biogot.com

服务:biorase01@biogot.com

合作:lvyun@biogot.com

支持:may@biogot.com