中国 EN 400-660-9091

联系我们

电话:025-68037686

地址:江苏生命科技创新园F6幢1层

订购:nanjing03@biogot.com

服务:biorase01@biogot.com

合作:lvyun@biogot.com

支持:may@biogot.com

GSK3 beta monoclonal antibody

货号: MB3162
价格 1350
货期 现货(1-2个工作日)
25ul 50ul 100ul 200ul
No. :MB3162
Product Name :GSK3 beta monoclonal antibody
Swiss-Prot :P49841
Host :Mouse
Reactivity :Human,Mouse,Rat
Applications :WB,IHC-P,FC
Application_all :WB: 1/500-1/1000 IHC: 1/50-1/100 FC: 1/50-1/100
Background :Glycogen synthase kinase-3 (GSK3) is a proline-directed serine-threonine kinase that was initially identified as a phosphorylating and inactivating glycogen synthase .GSK3B is involved in energy metabolism, neuronal cell development, and body pattern formation.In skeletal muscle, it contributes to insulin regulation of glycogen synthesis by phosphorylating and inhibiting GYS1 activity and hence glycogen synthesis.
Product :Liquid in PBS containing 50% glycerol, 0.5% BSA and 0.02% sodium azide, pH 7.3.
Purification&Purity :Affinity Purified
Storage&Stability :Store at 4°C short term. Aliquot and store at -20°C long term. Avoid freeze-thaw cycles.
Specificity :IgG1
BiowMW :Calculated MW: 47 kDa; Observed MW: 47 kDa
Note :For research use only, not for use in diagnostic procedure.
Alternative Name :GSK3B; Glycogen synthase kinase-3 beta; GSK-3 beta; Serine/threonine-protein kinase GSK3B
Immunogen :Purified recombinant fragment of human GSK3B (AA: 2-159) expressed in E. Coli.
Conjugate :Unconjugated
Modification :Unmodified
Flow Cytometry analysis of NIH/3T3 cells stained with GSK3B antibody and negative control .
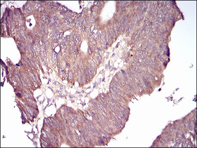
Immunohistochemistry analysis of paraffin-embedded rectum cancer tissues using GSK3B antibody with DAB staining.High-pressure and temperature Sodium Citrate pH 6.0 was used for antigen retrieval.

关注我们

400-660-9091

电话:025-68037686

地址:江苏生命科技创新园F6幢1层

订购:nanjing03@biogot.com

服务:biorase01@biogot.com

合作:lvyun@biogot.com

支持:may@biogot.com