中国 EN 400-660-9091

联系我们

电话:025-68037686

地址:江苏生命科技创新园F6幢1层

订购:nanjing03@biogot.com

服务:biorase01@biogot.com

合作:lvyun@biogot.com

支持:may@biogot.com

LPP (6F6) monoclonal antibody

货号: MB3139
价格 1350
货期 现货(1-2个工作日)
25ul 50ul 100ul 200ul
No. :MB3139
Product Name :LPP (6F6) monoclonal antibody
Swiss-Prot :Q93052
Host :Mouse
Reactivity :Human,Mouse,Rat,Monkey,Hamster
Applications :WB,IHC-F,IHC-P,ICC/IF,IP
Application_all :WB: 1/500-1/1000 IHC: 1/50-1/100 IF: 1/50-1/200 IP: 1/20
Background :May play a structural role at sites of cell adhesion in maintaining cell shape and motility. In addition to these structural functions, it may also be implicated in signaling events and activation of gene transcription.
Product :Liquid in PBS containing 50% glycerol, 0.5% BSA and 0.02% sodium azide, pH 7.3.
Purification&Purity :Affinity Purified
Storage&Stability :Store at 4°C short term. Aliquot and store at -20°C long term. Avoid freeze-thaw cycles.
Specificity :IgG1
BiowMW :Calculated MW: 66 kDa; Observed MW: 66 kDa
Note :For research use only, not for use in diagnostic procedure.
Alternative Name :LPP; Lipoma-preferred partner; LIM domain-containing preferred translocation partner in lipoma
Immunogen :Purified recombinant fragment of human LPP expressed in E. Coli.
Conjugate :Unconjugated
Modification :Unmodified
Western blot analysis of LPP in A549, MCF-7, C6 and Hela lysates using LPP antibody.
Immunofluorescence analysis of LPP in COS using LPP antibody. Red: Actin filaments have been labeled using DY554 phalloidin. Blue: DRAQ5 fluorescent DNA dye.
Immunofluorescence analysis of LPP in Hela cells using LPP antibody. Red: Actin filaments have been labeled using DY554 phalloidin,and DAPI .DRAQ5 fluorescent DNA dye.
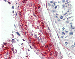
Immunohistochemistry analysis of paraffin-embedded Human vessels tissues using LPP antibody.High-pressure and temperature Sodium Citrate pH 6.0 was used for antigen retrieval.

关注我们

400-660-9091

电话:025-68037686

地址:江苏生命科技创新园F6幢1层

订购:nanjing03@biogot.com

服务:biorase01@biogot.com

合作:lvyun@biogot.com

支持:may@biogot.com