中国 EN 400-660-9091

联系我们

电话:025-68037686

地址:江苏生命科技创新园F6幢1层

订购:nanjing03@biogot.com

服务:biorase01@biogot.com

合作:lvyun@biogot.com

支持:may@biogot.com

GST3 (9D4) monoclonal antibody

货号: MB3138
价格 1350
货期 现货(1-2个工作日)
25ul 50ul 100ul 200ul
No. :MB3138
Product Name :GST3 (9D4) monoclonal antibody
Swiss-Prot :P09211
Host :Mouse
Reactivity :Human
Applications :WB,IHC-F,IHC-P,ICC/IF,FC
Application_all :WB: 1/500-1/1000 IHC: 1/50-1/100 IF: 1/50-1/200 FC: 1/50-1/100
Background :Conjugation of reduced glutathione to a wide number of exogenous and endogenous hydrophobic electrophiles.
Product :Liquid in PBS containing 50% glycerol, 0.5% BSA and 0.02% sodium azide, pH 7.3.
Purification&Purity :Affinity Purified
Storage&Stability :Store at 4°C short term. Aliquot and store at -20°C long term. Avoid freeze-thaw cycles.
Specificity :IgG1
BiowMW :Calculated MW: 23 kDa; Observed MW: 23 kDa
Note :For research use only, not for use in diagnostic procedure.
Alternative Name :GSTP1; FAEES3; GST3; Glutathione S-transferase P; GST class-pi; GSTP1-1
Immunogen :Purified recombinant fragment of human GSTP1 expressed in E. Coli.
Conjugate :Unconjugated
Modification :Unmodified
Western blot analysis of GST3 in PC-3 and Human cerebellum lysates using GST3 antibody.
Western blot analysis of GST3 in HEK293T transfected with the pCMV6ENTRY control and pCMV6ENTRY GSTP1 cDNA using GST3 antibody
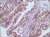
Immunohistochemistry analysis of paraffin-embedded Human prostate tissues using GSTP1 antibody with DAB staining.High-pressure and temperature Sodium Citrate pH 6.0 was used for antigen retrieval.

关注我们

400-660-9091

电话:025-68037686

地址:江苏生命科技创新园F6幢1层

订购:nanjing03@biogot.com

服务:biorase01@biogot.com

合作:lvyun@biogot.com

支持:may@biogot.com