中国 EN 400-660-9091

联系我们

电话:025-68037686

地址:江苏生命科技创新园F6幢1层

订购:nanjing03@biogot.com

服务:biorase01@biogot.com

合作:lvyun@biogot.com

支持:may@biogot.com

Insulin Degrading Enzyme monoclonal antibody

货号: MB12323
价格 1350
货期 现货(1-2个工作日)
25ul 50ul 100ul 200ul
No. :MB12323
Product Name :Insulin Degrading Enzyme monoclonal antibody
Swiss-Prot :P14735
Host :Rabbit
Reactivity :Human
Applications :WB,IHC-P
Application_all :WB: 1/500-1/1000 IHC: 1/50-1/100
Background :This gene encodes a zinc metallopeptidase that degrades intracellular insulin, and thereby terminates insulins activity, as well as participating in intercellular peptide signalling by degrading diverse peptides such as glucagon, amylin, bradykinin, and kallidin. The preferential affinity of this enzyme for insulin results in insulin-mediated inhibition of the degradation of other peptides such as beta-amyloid.
Product :50mM Tris-Glycine(pH 7.4), 0.15M NaCl, 40% Glycerol, 0.01% Sodium azide and 0.05% BSA
Purification&Purity :Affinity Purified
Storage&Stability :Store at 4°C short term. Aliquot and store at -20°C long term. Avoid freeze-thaw cycles.
Specificity :IgG
BiowMW :Calculated MW: 118 kDa; Observed MW: 118 kDa
Note :For research use only, not for use in diagnostic procedure.
Alternative Name :INSULYSIN; Insulin degrading enzyme; IDE
Immunogen :A synthesized peptide derived from human IDE
Conjugate :Unconjugated
Modification :Unmodified
Western blot analysis of Insulin Degrading Enzyme/IDE in Hela, A549, HL-60, U2OS lysates using Insulin Degrading Enzyme antibody.
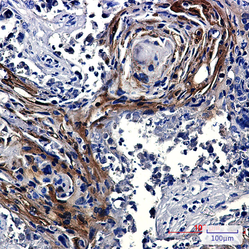
Immunohistochemistry analysis of paraffin-embedded Human lung cancer using Insulin Degrading Enzyme/IDE antibody.High-pressure and temperature Sodium Citrate pH 6.0 was used for antigen retrieval.

关注我们

400-660-9091

电话:025-68037686

地址:江苏生命科技创新园F6幢1层

订购:nanjing03@biogot.com

服务:biorase01@biogot.com

合作:lvyun@biogot.com

支持:may@biogot.com