中国 EN 400-660-9091

联系我们

电话:025-68037686

地址:江苏生命科技创新园F6幢1层

订购:nanjing03@biogot.com

服务:biorase01@biogot.com

合作:lvyun@biogot.com

支持:may@biogot.com

Tissue Factor monoclonal antibody

货号: MB12279
价格 1350
货期 现货(1-2个工作日)
25ul 50ul 100ul 200ul
No. :MB12279
Product Name :Tissue Factor monoclonal antibody
Swiss-Prot :P13726
Host :Rabbit
Reactivity :Human
Applications :WB,IHC-P
Application_all :WB: 1/500-1/1000 IHC: 1/50-1/100
Background :Initiates blood coagulation by forming a complex with circulating factor VII or VIIa. The [TF:VIIa] complex activates factors IX or X by specific limited protolysis. TF plays a role in normal hemostasis by initiating the cell-surface assembly and propagation of the coagulation protease cascade.
Product :50mM Tris-Glycine(pH 7.4), 0.15M NaCl, 40% Glycerol, 0.01% Sodium azide and 0.05% BSA
Purification&Purity :Affinity Purified
Storage&Stability :Store at 4°C short term. Aliquot and store at -20°C long term. Avoid freeze-thaw cycles.
Specificity :IgG
BiowMW :Calculated MW: 33 kDa; Observed MW: 45 kDa
Note :For research use only, not for use in diagnostic procedure.
Alternative Name :F3; Tissue factor; TF; Coagulation factor III; Thromboplastin; CD antigen CD142
Immunogen :Recombinant protein of human Tissue Factor
Conjugate :Unconjugated
Modification :Unmodified
Western blot analysis of Tissue Factor in A549, HL-60, U2OS lysates using Tissue Factor antibody.
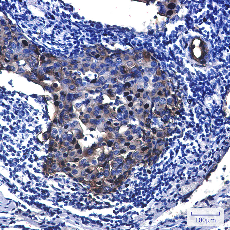
Immunohistochemistry analysis of paraffin-embedded Human lung cancer using Tissue Factor antibody.High-pressure and temperature Sodium Citrate pH 6.0 was used for antigen retrieval.

关注我们

400-660-9091

电话:025-68037686

地址:江苏生命科技创新园F6幢1层

订购:nanjing03@biogot.com

服务:biorase01@biogot.com

合作:lvyun@biogot.com

支持:may@biogot.com